인공 관절 수술비용 및 수술 후 재활 치료 알아보기
- 카테고리 없음
- 2024. 5. 12. 04:20
인공 관절 수술은 관절의 통증이나 기능 장애를 겪고 있는 환자들에게 새로운 삶의 질을 선사할 수 있는 현대 의학의 놀라운 발전입니다. 이 수술은 손상된 관절을 인공적인 재료로 대체하여 환자의 움직임을 회복시키고, 일상생활의 활동 범위를 넓혀줍니다. 수술비용은 다양한 요인에 따라 달라질 수 있으며, 환자의 건강 상태, 수술에 사용되는 재료의 종류, 병원의 위치와 수술 후 재활 치료의 필요성 등이 고려됩니다. 수술 후에는 체계적인 재활 프로그램을 통해 빠른 회복을 도모하고, 최상의 결과를 얻기 위한 노력이 필요합니다. 오늘은 인공 관절 수술비용 및 수술 후 재활 치료에 대해 알아보겠습니다.



인공 관절 수술비용 및 수술 후 재활 치료
인공 관절 수술은 관절의 통증이나 기능 장애를 겪고 있는 환자들에게 새로운 삶의 질을 선사할 수 있는 현대 의학의 놀라운 발전입니다. 이 수술은 손상된 관절을 인공적인 재료로 대체하여 환자의 움직임을 회복시키고, 일상생활의 활동 범위를 넓히는 데 큰 도움을 줍니다. 수술비용은 다양한 요인에 따라 달라지며, 환자의 건강 상태, 수술에 사용되는 재료의 종류, 병원의 위치 및 수술 후 필요한 재활 치료의 범위와 기간 등이 고려됩니다. 수술 후에는 체계적인 재활 프로그램을 통해 빠른 회복을 도모하고, 최상의 결과를 얻기 위한 노력이 필요합니다. 이 서론에서는 인공 관절 수술의 비용과 수술 후 재활 치료의 중요성에 대해 자세히 알아보겠습니다.
인공 관절 수술비용






인공 관절 수술은 퇴행성 관절염이나 다른 관절 손상으로 인해 자연 관절이 기능을 상실했을 때 고려되는 치료 방법입니다. 이 수술은 손상된 관절을 인공 재료로 만든 새로운 관절로 교체하는 과정을 포함합니다. 수술 비용은 다양한 요인에 따라 달라질 수 있으며, 환자의 나이, 수술의 복잡성, 사용되는 재료의 종류, 병원의 위치와 수준 등에 따라 천차만별입니다. 일반적으로, 수술 비용은 수술 전 검사비, 수술비, 입원비 등을 포함하여 수백만 원에서 천만 원 이상이 될 수 있습니다. 또한, 환자의 건강보험 적용 여부에 따라 실제 환자가 부담해야 하는 비용은 크게 달라질 수 있습니다. 건강보험 적용을 받을 수 있는 경우, 환자의 부담금은 상당히 줄어들 수 있으며, 특정 조건을 충족하는 경우 추가적인 정부 지원을 받을 수도 있습니다. 수술 후에는 일정 기간 동안 재활 치료가 필요할 수 있으며, 이는 전체 치료 비용에 영향을 미칠 수 있습니다. 인공 관절 수술은 환자의 삶의 질을 향상시킬 수 있는 중요한 수단이 될 수 있지만, 수술을 결정하기 전에 비용과 잠재적인 결과에 대해 의료 전문가와 상세히 상담하는 것이 중요합니다.
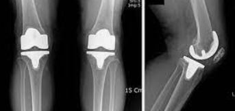
인공 관절 수술 종류






인공 관절 수술은 관절의 퇴행성 변화, 외상, 또는 다른 질환으로 인해 손상된 관절을 인공적인 재료로 만든 관절로 교체하는 의료 절차입니다. 이 수술은 주로 무릎, 고관절, 어깨 관절 등에 적용되며, 환자의 삶의 질을 향상시키고 통증을 감소시키는 데 목적이 있습니다.
인공 관절 수술의 종류는 크게 두 가지로 나뉩니다: 전치환술과 부분치환술입니다. 전치환술은 손상된 관절 전체를 인공 관절로 교체하는 방법이며, 부분치환술은 손상된 관절의 일부만을 교체하는 방법입니다. 환자의 상태와 필요에 따라 적절한 수술 방법이 선택됩니다.
전치환술은 관절의 변형이 심하거나 손상 부위가 넓은 경우에 주로 사용됩니다. 이 수술은 관절의 안쪽과 바깥쪽 모두를 인공 관절로 바꿔줌으로써, 통증을 줄이고 관절의 기능을 회복시키는 데 도움을 줍니다.
반면, 부분치환술은 관절의 손상이 비교적 제한적인 경우에 적합합니다. 이 수술은 절개 부위가 작고 회복이 빠르며, 무릎 운동 범위의 제한이 적다는 장점이 있습니다. 특히, 연골 내측만 손상된 경우나 십자인대 기능이 정상인 경우에 시행됩니다.
최근에는 로봇 인공관절 수술이 도입되어, 수술 과정에서 발생할 수 있는 정상 조직의 손상과 출혈을 최소화하고, 수술 부위를 신속하고 정확하게 절개할 수 있어 회복이 빠르고 재활이 용이해졌습니다.
인공 관절 수술은 환자의 생활 방식, 건강 상태, 관절의 손상 정도 등을 고려하여 맞춤형으로 진행되며, 수술 후에는 적절한 재활 프로그램을 통해 빠른 회복을 도모합니다. 이러한 수술은 환자에게 새로운 활동의 자유를 제공하고, 일상생활의 질을 크게 향상시킬 수 있는 중요한 의료 서비스입니다.
인공 수술 후 재활 치료






인공 관절 수술 후 재활 치료는 환자가 수술 후 최상의 회복을 할 수 있도록 돕는 중요한 과정입니다. 이 과정은 수술 부위의 통증을 관리하고, 관절의 움직임을 개선하며, 일상 생활로의 복귀를 촉진하는 것을 목표로 합니다.
재활 치료는 수술 직후부터 시작되며, 처음에는 통증 관리와 부기 감소에 중점을 둡니다. 이를 위해 냉찜질, 압박 붕대, 적절한 약물 처방 등이 사용될 수 있습니다. 초기 단계에서는 환자가 수술 부위를 안정시키고 휴식을 취하는 것이 중요합니다.
수술 부위의 상태가 호전되면, 물리치료사와 함께하는 능동적인 재활 운동이 시작됩니다. 이 단계에서는 관절의 유연성과 근력을 높이는 운동이 포함됩니다. 예를 들어, 인공 무릎 관절 수술을 받은 환자의 경우, 무릎을 구부리고 펴는 운동이나 자전거 타기 같은 저항 운동이 도움이 될 수 있습니다.
장기적인 회복을 위해서는 환자의 적극적인 참여와 꾸준한 운동이 필요합니다. 또한, 환자의 생활 습관과 환경을 개선하여 수술 부위에 불필요한 부담을 주지 않도록 하는 것도 중요합니다. 예를 들어, 체중 관리, 올바른 자세 유지, 일상 활동 시 관절 보호 방법 등이 있습니다.
마지막으로, 재활 치료는 개인의 상태와 필요에 맞춰져야 합니다. 따라서, 물리치료사나 의사와 긴밀히 협력하여 개인화된 재활 계획을 수립하는 것이 중요합니다. 이러한 맞춤형 접근 방식은 환자가 더 빠르고 효과적으로 회복할 수 있도록 돕습니다.
인공 관절 수술 후 재활 치료는 환자가 다시 활동적인 생활을 영위할 수 있도록 하는 데에 큰 역할을 합니다. 이 과정은 때로는 도전적일 수 있지만, 환자의 삶의 질을 향상시키고, 수술의 성공을 보장하는 데에 필수적인 단계입니다.
인공 관절에 좋은 영양제 추천






인공 관절 수술 후의 회복과 장기적인 관절 건강 유지는 매우 중요합니다. 이를 위해 영양 섭취는 필수적인 요소 중 하나입니다. 영양제는 인공 관절을 포함한 전반적인 관절 건강에 도움을 줄 수 있으며, 특정 영양소는 관절의 기능을 향상시키고 통증을 완화하는 데 기여할 수 있습니다.
글루코사민과 콘드로이친은 관절염 치료에 널리 사용되는 영양소로, 연골의 주요 구성 요소입니다. 이들은 연골 세포의 재생을 돕고, 연골의 탄력성과 유연성을 유지하는 데 도움을 줍니다. MSM(메틸설포닐메탄)은 염증을 완화하고 연골 손상을 방지하는 데 도움이 될 수 있습니다. 보스웰리아는 인도산 나무에서 추출한 성분으로, 염증을 완화하는 데 효과적입니다.
비타민 C와 D도 관절 건강에 중요한 역할을 합니다. 비타민 C는 콜라겐의 합성을 돕고, 비타민 D는 뼈 건강을 지원합니다. 히알루론산은 관절의 윤활을 돕고, 케토프로펜은 소염진통제로 사용됩니다.
이 외에도 오메가-3 지방산, 칼슘, 마그네슘 등 다양한 미네랄이 관절 건강에 기여할 수 있습니다. 이러한 영양소들은 관절염 예방 및 관리에 도움이 되며, 특히 인공 관절을 가진 사람들에게 중요할 수 있습니다.
영양제 섭취 시 주의할 점은 개인의 건강 상태와 현재 복용 중인 약물에 따라 영양제의 종류와 복용량이 달라질 수 있다는 것입니다. 의사와 상담을 통해 개인에게 적합한 영양제를 선택하는 것이 중요합니다. 또한, 영양제는 약이 아니므로 과다 복용 시 부작용이 있을 수 있으니, 제품의 복용 지침을 잘 따르는 것이 필요합니다.
관절 건강을 위한 영양제는 관절의 기능을 지원하고, 수술 후 회복을 돕는 데 유용할 수 있습니다. 그러나 영양제만으로 모든 문제가 해결되는 것은 아니므로, 균형 잡힌 식단, 적절한 운동, 체중 관리 등 건강한 생활 습관을 함께 실천하는 것이 중요합니다. 관절 건강을 위한 종합적인 접근 방식이 장기적인 관절 기능 유지에 도움이 될 것입니다.
인공 관절에 좋은 운동






인공 관절을 위한 운동은 관절의 유연성과 강도를 향상시키는 데 중점을 둡니다. 수영이나 수중 에어로빅과 같은 저항성 수중 운동은 관절에 부담을 주지 않으면서 전체적인 근육을 강화할 수 있습니다. 또한, 자전거 타기나 엘립티컬 트레이너 사용은 관절에 충격을 최소화하면서 하체의 근력을 증진시키는 좋은 방법입니다. 요가나 필라테스는 근육의 유연성과 균형 감각을 향상시키는 데 도움을 줄 수 있으며, 인공 관절의 기능을 향상시키는 데에도 유익합니다. 단, 모든 운동은 전문가의 지도 하에 안전하게 수행되어야 하며, 개인의 건강 상태와 인공 관절의 상태에 맞게 조정되어야 합니다. 운동 전후에는 충분한 스트레칭을 통해 근육을 이완시키고, 관절 주위의 혈류를 증진시켜야 합니다. 이러한 운동들은 인공 관절의 수명을 연장하고, 일상 생활에서의 활동 범위를 넓히는 데 기여할 수 있습니다.