어깨 탈구 증상 및 치료 방법 알아보기 ✅
- 카테고리 없음
- 2024. 5. 13. 21:56
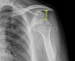
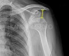
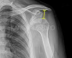
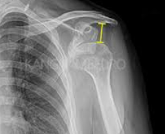
어깨탈구는 일상생활에서 누구나 경험할 수 있는 흔한 부상 중 하나입니다. 이는 어깨 관절이 정상적인 위치에서 벗어나는 상태를 말하며, 갑작스러운 충격이나 부적절한 움직임으로 인해 발생할 수 있습니다. 증상으로는 심한 통증, 움직임의 제한, 팔의 변형 등이 있으며, 경우에 따라서는 신경 손상이나 혈관 손상을 동반하기도 합니다. 치료 방법은 탈구의 정도와 환자의 상태에 따라 달라지지만, 일반적으로는 관절을 원래 위치로 복원하는 정복술과 통증 관리, 그리고 재활 운동이 포함됩니다. 이 글에서는 어깨탈구의 증상을 인식하는 방법과 효과적인 치료 접근법에 대해 자세히 알아보겠습니다. 오늘은 어깨탈구 증상 및 치료방법에 대해 알아보겠습니다.



어깨탈구 증상 및 치료방법
어깨탈구는 어깨 관절이 정상적인 위치에서 벗어나는 상태를 말합니다. 이는 갑작스러운 충격이나 부상으로 인해 발생할 수 있으며, 심한 통증과 함께 어깨의 움직임이 제한됩니다. 증상으로는 어깨의 변형, 팔을 움직일 때의 고통, 그리고 팔의 힘이 약해지는 것 등이 있습니다. 치료 방법은 탈구의 정도와 환자의 상태에 따라 달라지지만, 일반적으로는 물리치료, 슬링 착용, 때로는 수술이 필요할 수도 있습니다. 이 글에서는 어깨탈구의 증상을 자세히 알아보고, 효과적인 치료 방법에 대해 탐구해보겠습니다. 어깨탈구의 이해를 통해, 이러한 부상을 예방하고, 만약 발생했을 때 적절히 대처하는 방법을 배울 수 있을 것입니다.
어깨탈구 증상






어깨탈구는 어깨 관절이 정상적인 위치에서 벗어나는 상태를 말합니다. 이는 다양한 원인으로 발생할 수 있으며, 통증과 함께 어깨의 움직임이 제한될 수 있습니다. 어깨탈구의 주요 증상으로는 다음과 같은 것들이 있습니다:
1. 갑작스러운 심한 통증: 탈구가 발생하면 어깨 주변의 신경이 자극되어 강한 통증을 느낄 수 있습니다.
2. 어깨의 변형: 탈구된 어깨는 비정상적인 모양을 보이거나 팔이 정상적인 위치에 있지 않게 됩니다.
3. 움직임의 제한: 탈구된 관절은 움직임이 제한되며, 때로는 팔을 전혀 움직일 수 없게 됩니다.
4. 부기 및 멍: 탈구 부위에 혈관이 손상되어 부기나 멍이 생길 수 있습니다.
5. 근육 경련: 탈구된 관절 주변의 근육이 경련을 일으킬 수 있습니다.
어깨탈구는 의학적 평가와 치료가 필요한 상태입니다. 증상이 나타나면 즉시 의료 전문가의 도움을 받아야 합니다. 자가 치료를 시도하지 말고, 전문가에 의한 적절한 진단과 치료를 받는 것이 중요합니다. 어깨탈구는 적절한 치료를 통해 회복될 수 있으며, 재발 방지를 위한 예방 조치도 필요합니다.
어깨탈구 원인
어깨탈구는 어깨 관절이 정상적인 위치에서 벗어나는 상태를 말합니다. 이는 어깨 관절을 구성하는 뼈, 근육, 인대, 힘줄 등이 손상되거나 약화됨으로써 발생할 수 있습니다. 어깨탈구의 가장 흔한 원인은 외상입니다. 넘어지거나 직접적인 충격을 받았을 때 어깨 관절이 강제로 움직이면서 탈구될 수 있습니다. 스포츠 활동 중에도 비슷한 상황이 발생할 수 있으며, 특히 충돌이나 반복적인 오버헤드 동작을 하는 스포츠에서 더 자주 보입니다.
또 다른 원인은 관절의 과도한 유연성이나 약화된 어깨 근육으로 인한 것일 수 있습니다. 이러한 경우, 갑작스러운 움직임이나 무리한 자세로 인해 탈구가 발생할 수 있습니다. 또한, 어깨 관절의 해부학적 구조상의 문제나 이전의 탈구 경험이 재발의 위험을 증가시킬 수 있습니다.
어깨탈구는 심한 통증과 함께 어깨의 움직임이 제한되는 것이 특징입니다. 탈구된 어깨는 의료 전문가에 의해 적절한 치료를 받아야 하며, 때로는 수술이 필요할 수도 있습니다. 예방을 위해서는 적절한 스트레칭과 강화 운동을 통해 어깨 근육을 튼튼하게 유지하는 것이 중요합니다. 또한, 위험한 활동을 할 때는 보호 장비를 착용하고, 안전 수칙을 준수하는 것이 좋습니다.
어깨탈구 치료방법






어깨탈구는 어깨 관절이 정상적인 위치에서 벗어나는 상태를 말합니다. 이는 스포츠 활동 중에 발생할 수도 있고, 갑작스러운 충격이나 부상으로 인해 발생할 수도 있습니다. 어깨탈구가 발생하면, 통증과 함께 어깨의 움직임이 제한될 수 있으며, 즉각적인 치료가 필요합니다.
치료 방법은 탈구의 정도와 환자의 상태에 따라 다를 수 있지만, 일반적으로 다음과 같은 절차를 따릅니다:
1. 긴급 처치: 탈구가 발생한 직후에는 어깨를 움직이지 않도록 고정하고, 얼음찜질을 통해 붓기와 통증을 줄입니다.
2. 정복: 의사는 부드럽게 어깨 관절을 원래의 위치로 돌려놓는 정복술을 시행할 수 있습니다. 이 과정은 통증을 수반할 수 있으므로, 때때로 진통제나 마취가 필요할 수 있습니다.
3. 재활: 정복 후에는 어깨의 안정성을 회복하고 근육을 강화하기 위한 재활 운동이 필요합니다. 물리치료사의 지도 하에 진행되는 것이 좋습니다.
4. 수술: 반복적인 탈구나 관절의 손상이 심각한 경우에는 수술적 치료가 필요할 수 있습니다.
어깨탈구는 적절한 치료와 관리를 통해 회복이 가능하지만, 재발 방지를 위해서는 예방이 중요합니다. 스포츠 활동 전에 충분한 준비 운동을 하고, 어깨 주변 근육을 강화하는 운동을 꾸준히 하는 것이 도움이 됩니다.
어깨탈구에 대한 자세한 치료 방법과 재활 과정은 전문의와 상담을 통해 개인의 상태에 맞는 최적의 방법을 찾는 것이 중요합니다. 만약 어깨에 이상을 느낀다면, 즉시 전문의와 상담하여 적절한 조치를 취해야 합니다.
어깨탈구 재활운동






어깨탈구는 어깨 관절이 정상적인 위치서 벗어나는 상태를 말합니다. 이러한 부상 후에는 적절한 재활 운동을 통해 어깨의 기능을 회복하고 재탈구의 위험을 줄일 수 있습니다. 여기에는 몇 가지 기본적인 재활 운동이 있습니다:
1. 어깨 굴곡 및 신전 운동:
- 팔을 앞으로 뻗어 어깨 높이까지 들어올린 후 천천히 내립니다.
- 팔을 뒤로 뻗어 최대한 뒤로 당긴 후 천천히 원위치로 돌아옵니다.
2. 어깨 내회전 및 외회전 운동:
- 팔꿈치를 90도 각도로 구부리고 팔을 몸통에 붙인 상태에서, 손을 바깥쪽으로 돌린 후 안쪽으로 돌립니다.
3. 스카퓰라 제어 운동:
- 어깨 뼈를 안정적으로 유지하면서 어깨 뼈를 위로 올리고, 아래로 내리고, 앞으로 밀고, 뒤로 당기는 운동을 합니다.
4. 벽을 이용한 슬라이드 운동:
- 벽에 손바닥을 대고 팔을 위로 천천히 미끄러지게 하여 어깨를 스트레칭합니다.
이러한 운동들은 어깨의 안정성과 유연성을 증진시키고, 근력을 강화하는 데 도움을 줍니다. 하지만, 재활 운동을 시작하기 전에 의사나 물리치료사와 상담하여 개인의 상태에 맞는 운동 계획을 세우는 것이 중요합니다. 또한, 운동 중에 통증이 발생하면 즉시 중단하고 전문가와 상의해야 합니다.
재활 운동은 인내와 시간이 필요하지만, 꾸준히 실행하면 어깨의 건강과 기능을 회복하는 데 큰 도움이 됩니다. 어깨탈구 후 재활은 장기적인 관점에서 접근하는 것이 중요하며, 전문가의 지도를 받으며 안전하게 운동을 진행하는 것이 최선입니다.
어깨탈구 보호대






어깨탈구 보호대는 어깨 관절의 안정성을 높이고, 부상 후 회복을 돕는 의료용품입니다. 어깨 관절은 여러 방향으로 움직일 수 있는 높은 자유도를 가지고 있지만, 그만큼 탈구 위험이 높은 부위이기도 합니다. 특히 스포츠 활동 중이나 일상 생활에서 무리한 움직임으로 인해 어깨가 쉽게 다칠 수 있습니다.
어깨탈구 보호대는 탈구, 회전근개 파열, 염좌 등 다양한 어깨 부상을 예방하거나, 이미 발생한 부상의 추가적인 손상을 방지하며 치유 과정을 지원합니다. 이러한 보호대는 압박과 지지를 제공하여 어깨의 움직임을 적절히 제한함으로써, 부상 부위의 안정을 유지하고 통증을 완화하는 역할을 합니다.
어깨 보호대를 선택할 때는 착용감, 압박력, 지지력 등을 고려해야 합니다. 사용자의 특정 상황과 필요에 맞는 제품을 선택하는 것이 중요하며, 사이즈가 적절한지, 착용했을 때 불편함이 없는지 등을 확인해야 합니다. 또한, 재질이 피부에 자극을 주지 않고, 통기성이 좋아야 장시간 착용해도 편안함을 유지할 수 있습니다.
어깨 보호대는 부상을 입은 후 초기에는 통증 관리와 부상 부위의 고정을 위해 사용되며, 회복 단계에서는 점차적으로 운동 범위를 늘려가며 재활에 도움을 줍니다. 정확한 사용 방법과 착용 시간은 전문가의 조언을 받아 결정하는 것이 바람직합니다.
어깨탈구 보호대는 부상 예방과 빠른 회복을 위한 유용한 도구이지만, 모든 상황에 적합한 것은 아닙니다. 따라서 전문가와 상담을 통해 개인의 상태에 맞는 적절한 보호대를 선택하고, 올바른 사용법을 숙지하는 것이 중요합니다. 어깨 건강을 위해 적절한 보호대 사용과 함께 규칙적인 운동과 스트레칭을 통해 근육을 강화하고 부상을 예방하는 습관을 기르는 것이 좋습니다.