잇몸이 붓고 피 날때 치료 방법 및 영양제 추천 알아보기
- 카테고리 없음
- 2024. 5. 14. 17:20
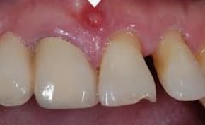
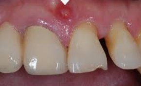
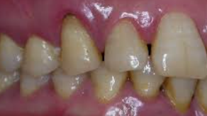
잇몸 질환은 많은 사람들이 경험하는 흔한 문제로, 적절한 치료와 관리를 통해 개선할 수 있습니다. 잇몸이 붓고 피가 나는 증상은 주로 치주 질환의 초기 신호로, 이는 치아를 지지하는 조직과 뼈에 염증이 생겨 발생합니다. 이러한 증상을 완화시키기 위해서는 구강 위생의 중요성을 인식하고, 정기적인 치과 방문을 통해 전문적인 조언을 구하는 것이 필요합니다. 또한, 영양소의 섭취가 전반적인 구강 건강에 미치는 영향을 고려하여, 비타민 C와 같은 항산화 영양소가 풍부한 식단을 유지하는 것이 도움이 됩니다. 오늘은 잇몸이 붓고 피날때 치료방법 및 영양제 추천에 대해 알려드리겠습니다.



잇몸이 붓고 피날때 치료방법 및 영양제 추천
잇몸 질환은 많은 사람들이 경험는 일반적인 문제로, 적절한 치료와 관리를 통해 개선할 수 있습니다. 잇몸이 붓고 피가 날 때, 이는 흔히 치주 질환의 초기 증상으로 볼 수 있으며, 이는 구강 위생 상태와 밀접한 관련이 있습니다. 이러한 증상을 완화하기 위해서는 정기적인 치과 검진과 함께 올바른 구강 위생 습관을 유지하는 것이 중요합니다. 또한, 특정 영양소의 섭취가 잇몸 건강에 긍정적인 영향을 미칠 수 있으므로, 영양제 선택에 있어서도 신중을 기해야 합니다. 이 글에서는 잇몸 부음과 출혈을 줄이는 데 도움이 되는 치료 방법과 영양제에 대해 자세히 알아보겠습니다.
잇몸이 붓고 피날때 치료방법






잇몸이 붓고 피가 나는 증상은 흔히 잇몸 질환의 신호일 수 있습니다. 이러한 증상을 겪고 있다면, 가장 먼저 해야 할 일은 구강 위생을 철저히 하는 것입니다. 다음은 잇몸 붓기와 출혈을 줄이는 데 도움이 되는 몇 가지 방법입니다:
1. 적절한 양치질: 부드러운 칫솔을 사용하여 하루에 두 번, 최소 2분 동안 양치질을 해야 합니다. 칫솔질은 잇몸선을 따라 부드럽게 해야 하며, 너무 세게 하면 잇몸을 상하게 할 수 있습니다.
2. 치실 사용: 치실은 치아 사이사이의 음식 찌꺼기와 플라크를 제거하는 데 도움을 줍니다. 매일 치실을 사용하여 치아 사이를 깨끗이 하는 것이 중요합니다.
3. 정기적인 치과 방문: 정기적으로 치과에 방문하여 전문적인 치아 청소를 받는 것이 좋습니다. 치과 의사는 플라크와 치석을 제거하여 잇몸 질환을 예방할 수 있습니다.
4. 올바른 식습관: 비타민 C와 D가 풍부한 음식을 섭취하면 잇몸 건강에 도움이 됩니다. 또한, 당분이 많은 음식과 음료는 피하는 것이 좋습니다.
5. 금연: 흡연은 잇몸 질환을 유발하고 치료 과정을 더디게 할 수 있습니다. 금연은 잇몸 건강을 개선하는 데 큰 도움이 됩니다.
이러한 방법들을 통해 잇몸의 붓기와 출혈을 줄일 수 있지만, 증상이 지속되거나 악화될 경우에는 반드시 치과 의사와 상담해야 합니다. 잇몸 질환은 초기에 치료할수록 더 좋은 결과를 얻을 수 있으므로, 증상을 무시하지 말고 적극적으로 관리하는 것이 중요합니다.
잇몸에 좋은 영양제 추천






잇몸 건강은 전반적인 구강 건강의 중요한 부분입니다. 건강한 잇몸은 치아를 지탱하고, 감염을 예방하며, 전체적인 건강에 기여합니다. 잇몸 건강을 위해 특정 영양소를 섭취하는 것이 도움이 될 수 있는데, 여기 몇 가지 추천 영양소를 소개합니다.
1. 비타민 C: 항산화제로서 잇몸의 염증을 줄이고, 잇몸 질환을 예방하는 데 도움을 줍니다.
2. 칼슘: 치아와 잇몸의 건강을 유지하는 데 필수적인 미네랄입니다.
3. 비타민 D: 칼슘의 흡수를 돕고, 잇몸과 치아의 건강을 지원합니다.
4. 코엔자임 Q10: 잇몸 조직의 회복을 돕고, 잇몸 질환으로부터 보호할 수 있습니다.
5. 오메가-3 지방산: 염증을 감소시키고, 잇몸 질환의 위험을 줄일 수 있습니다.
이러한 영양소들은 일반적으로 다양한 식품에서 찾을 수 있으며, 필요에 따라 영양제 형태로 추가 섭취할 수 있습니다. 영양제를 선택할 때는 자신의 건강 상태와 필요에 맞는 제품을 선택하는 것이 중요합니다. 또한, 정기적인 치과 검진과 함께 적절한 구강 위생 습관을 유지하는 것이 잇몸 건강을 위한 최선의 방법입니다.
잇몸 건강을 위한 영양제를 고려할 때는 전문가의 조언을 구하는 것이 좋습니다. 이 글은 일반적인 정보를 제공하기 위한 것이며, 개인의 건강 상태에 따라 다를 수 있으므로 전문가와 상담하는 것을 추천합니다. 건강한 잇몸을 위해 균형 잡힌 식단, 적절한 영양 섭취, 그리고 좋은 구강 위생 습관을 유지합시다.
잇몸에 좋은 치약 추천






잇몸 건강은 전반적인 구강 건강의 핵심입니다. 잇몸 문제는 불편함과 통증을 초래할 뿐만 아니라, 심각한 경우 치아 손실로 이어질 수 있기 때문에 적절한 치약 선택이 중요합니다. 여기서는 잇몸에 좋은 치약을 선택하는 데 도움이 되는 몇 가지 팁을 제공합니다.
1. 계면활성제가 적은 치약 선택하기
계면활성제는 치약에서 거품을 생성하는 물질로, 입 안의 음식 잔여물을 제거하는 데 도움을 줍니다. 그러나 계면활성제가 너무 많으면 입 안이 떫은 느낌을 줄 수 있으므로, 계면활성제가 적게 함유된 치약을 선택하는 것이 좋습니다.
2. 연마제가 적게 함유된 치약 고르기
연마제는 치아의 스테인과 치태를 제거하는 데 효과적이지만, 과도하게 함유된 경우 치아 마모를 유발할 수 있습니다. 따라서 연마제가 적당량 포함된 치약을 사용하는 것이 잇몸 건강에 이롭습니다.
3. 에센셜 오일이 포함된 치약 사용하기
에센셜 오일은 구강 점막에 자극을 줄 수 있으므로, 소량 함유된 치약을 선택하는 것이 바람직합니다.
4. 불소 함유량이 적절한 치약 선택하기
불소는 충치 예방에 중요한 역할을 하며, 치아 표면을 강화하는 데 도움을 줍니다. 대부분의 치약에는 불소가 적절한 수준으로 함유되어 있으므로, 불소 함유량이 기준치를 넘지 않는 치약을 사용하는 것이 좋습니다.
이러한 요소들을 고려하여 치약을 선택하면, 잇몸 건강을 유지하는 데 도움이 될 것입니다. 또한, 정기적인 치과 방문과 함께 올바른 양치질 습관을 유지하는 것이 중요합니다. 양치질은 3분에서 5분 동안 부드럽게 하고, 너무 세게 닦지 않으며, 집중적으로 한 곳만 닦지 않는 것이 좋습니다.
잇몸 건강을 위한 치약 선택은 개인의 구강 상태와 선호도에 따라 달라질 수 있으므로, 자신에게 맞는 치약을 찾기 위해 여러 제품을 시도해보고, 필요한 경우 치과 전문가와 상담하는 것이 좋습니다. 건강한 잇몸은 건강한 삶의 기초이므로, 적절한 치약 선택으로 구강 건강을 지키세요.
잇몸 염증에 좋은 음식






잇몸 염증은 많은 사람들이 경험하는 불편한 상태로, 올바른 식습관을 통해 예방하고 관리할 수 있습니다. 여기에 잇몸 건강에 도움이 되는 몇 가지 음식을 소개합니다.
1. 강황: 강황에 함유된 커큐민은 강력한 항염 효과를 가지고 있어 잇몸 염증을 줄이는 데 도움을 줍니다.
2. 노니: 노니는 염증과 암세포 증식을 억제하는 것으로 알려져 있으며, 강력한 항산화 성분을 포함하고 있습니다.
3. 양파: 양파에 들어있는 케르세틴은 만성 염증을 개선하는 데 효과적입니다.
4. 마늘: 마늘은 항균 작용이 뛰어나며, 잇몸 염증을 줄이는 데 도움을 줄 수 있습니다.
5. 버섯: 버섯은 비타민과 항산화 성분이 풍부하여 잇몸 건강에 좋습니다.
6. 브로콜리: 비타민이 풍부한 브로콜리는 염증 예방에 효과적입니다.
7. 도라지: 도라지는 기관지 염증 예방에 좋으며, 잇몸 염증 예방에도 도움이 됩니다.
8. 코코넛 오일: 코코넛 오일은 구강 내 세균을 제거하고 잇몸 염증을 줄이는 데 효과적입니다.
9. 아보카도 아보카도는 항산화 물질이 풍부하여 염증을 개선하는 데 도움을 줍니다.
10. 견과류: 견과류는 건강에 좋은 지방과 항산화제를 함유하고 있어 잇몸 건강에 이롭습니다.
11. 블루베리: 블루베리는 항산화 성분이 매우 풍부하여 잇몸 염증을 줄이는 데 도움을 줍니다.
이러한 음식들은 잇몸 건강을 유지하고 염증을 예방하는 데 도움을 줄 수 있습니다. 하지만, 잇몸 염증이 심각한 경우에는 전문가의 진료를 받는 것이 중요합니다. 또한, 균형 잡힌 식단과 함께 적절한 구강 위생 습관을 유지하는 것이 잇몸 건강을 위해 필수적입니다. 정기적인 치과 검진과 청결한 구강 관리로 건강한 미소를 지키세요.
좋은 칫솔 추천






좋은 칫솔을 선택하는 것은 구강 건강을 유지하는 데 중요한 부분입니다. 시중에는 다양한 종류의 칫솔이 있으며, 각자의 구강 상태와 선호도에 맞는 칫솔을 찾는 것이 중요합니다. 여기 몇 가지 고려해야 할 사항들을 소개합니다.
1. 모의 강도: 칫솔의 모는 부드럽고, 중간, 또는 단단한 강도로 나뉩니다. 대부분의 치과 전문가들은 부드러운 모의 칫솔을 사용할 것을 권장합니다. 이는 잇몸 손상을 방지하고 치아 표면의 플라크를 효과적으로 제거할 수 있기 때문입니다.
2. 모의 형태: 일부 칫솔은 다양한 길이와 각도의 모를 가지고 있어, 치아와 잇몸 사이의 좁은 공간까지 닿을 수 있습니다. 이러한 디자인은 구강 청결을 더욱 향상시킬 수 있습니다.
3. 손잡이 디자인: 칫솔의 손잡이는 사용자가 편안하게 잡을 수 있도록 인체공학적으로 설계되어야 합니다. 또한, 미끄럼 방지 기능이 있는 손잡이는 젖은 환경에서도 칫솔질을 용이하게 합니다.
4. 전동 칫솔: 전동 칫솔은 일정한 압력과 속도로 치아를 닦아주어, 수동 칫솔보다 더 효과적인 플라크 제거가 가능합니다. 특히, 어린이나 손목에 힘이 약한 사람들에게 유용할 수 있습니다.
5. 교체 주기: 칫솔은 대략 3개월마다 교체하는 것이 좋습니다. 모가 휘어지거나 손상된 경우에는 더 자주 교체해야 합니다.
이러한 요소들을 고려하여 개인의 구강 상태에 맞는 칫솔을 선택하는 것이 중요합니다. 또한, 정기적인 치과 검진을 통해 전문가의 조언을 구하는 것도 구강 건강을 유지하는 데 도움이 됩니다.