호중구가 낮을 때 나타나는 질병과 대처 방법
- 카테고리 없음
- 2024. 12. 9. 14:25
호중구가 낮을 때 나타나는 질병과 대처 방법
호중구는 우리 몸에서 면역체계를 담당하는 백혈구의 일종으로, 세균과 바이러스를 물리치는 데 중요한 역할을 합니다. 호중구 수치가 정상 범위보다 낮아지는 상태를 호중구감소증이라고 하며, 이는 다양한 질병과 관련이 있습니다. 호중구 감소로 인해 발생할 수 있는 질병과 대처법에 대해 알아보겠습니다.
1. 호중구란? 그 역할과 중요성



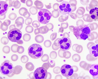
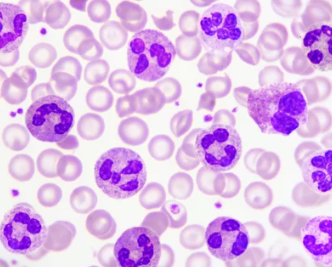
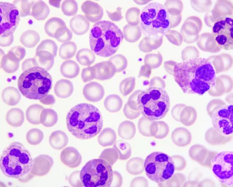
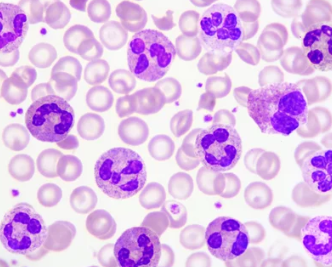
호중구는 백혈구 중 가장 큰 비중을 차지하며, 우리 몸의 방어선 역할을 합니다. 외부에서 들어오는 병원균을 공격하고 감염을 예방하는 데 핵심적인 역할을 합니다.
- 정상 호중구 수치: 성인의 경우 혈액 1마이크로리터당 약 1500~8000개가 정상입니다.
- 호중구감소증 기준: 호중구 수치가 1500개 이하로 떨어지면 호중구감소증으로 간주되며, 수치가 낮을수록 감염 위험이 커집니다.
- 호중구 부족 시 위험성: 면역력이 약해지며, 감염성 질환에 걸리기 쉽습니다. 특히 중증 감염은 생명에 치명적일 수 있습니다.
2. 호중구가 낮으면 나타날 수 있는 질병들



1) 감염 질환
호중구가 낮아지면 세균, 바이러스, 곰팡이에 의한 감염이 증가합니다.
- 호흡기 감염: 폐렴, 기관지염 등.
- 피부 감염: 상처가 쉽게 감염되고 치유가 더딜 수 있습니다.
- 위장관 감염: 설사, 복통 등이 발생할 수 있습니다.
2) 패혈증
호중구 감소가 심한 경우, 병원균이 혈액을 통해 전신으로 퍼지는 패혈증이 발생할 수 있습니다. 이는 생명을 위협할 수 있는 응급 상황입니다.
3) 재발성 구강 궤양
입안에 궤양이나 염증이 반복적으로 생길 수 있습니다. 이는 면역력 저하로 인해 구강 내 세균이 증가하기 때문입니다.
4) 혈액 질환
호중구 감소는 백혈병, 골수이형성증후군, 골수섬유증 등의 혈액 질환과 관련될 수 있습니다. 이러한 질환은 골수에서의 혈구 생성 기능에 영향을 미칩니다.
5) 자가면역 질환
호중구 감소는 루푸스, 류마티스 관절염과 같은 자가면역 질환과도 관련이 있을 수 있습니다. 이러한 질환은 면역 체계가 자신의 조직을 공격하게 만듭니다.
3. 호중구가 낮아지는 원인과 요인



호중구 감소는 다양한 원인에 의해 발생할 수 있습니다.
- 약물 부작용: 항암제, 항생제, 면역억제제 등.
- 골수 이상: 골수에서 혈구가 제대로 생성되지 않는 상태.
- 바이러스 감염: 간염, HIV, 인플루엔자 등이 호중구 수치를 낮출 수 있습니다.
- 영양 결핍: 비타민 B12, 엽산 등의 결핍.
- 자가면역 반응: 면역 체계가 호중구를 파괴하는 경우.
4. 호중구가 낮을 때 대처 방법과 치료



1) 원인 치료
호중구 감소의 근본 원인을 치료하는 것이 중요합니다. 예를 들어, 약물 부작용이라면 대체 약물을 처방받거나 복용을 중단해야 합니다.
2) 항생제 및 항진균제 사용
감염 예방을 위해 항생제나 항진균제를 사용할 수 있습니다. 이는 감염 위험이 높은 환자에게 필수적입니다.
3) 호중구 수치 회복을 위한 치료
- G-CSF 주사: 호중구 생성을 자극하는 약물로, 암 환자나 골수 이상 환자에게 사용됩니다.
- 비타민 및 영양 보충: 비타민 B12, 엽산 등이 풍부한 음식을 섭취하거나 보충제를 복용합니다.
4) 생활 습관 개선
- 감염을 예방하기 위해 손 씻기, 마스크 착용 등 개인위생을 철저히 관리합니다.
- 감염 위험이 높은 환경(혼잡한 장소, 병원 등)을 피합니다.
5) 정기적인 검진
정기적으로 혈액 검사를 통해 호중구 수치를 확인하고, 이상이 발견되면 즉각 대응합니다.
5. 호중구 감소 관련 최신 연구와 정보



최근 연구 동향
- 면역치료의 발전: 면역치료 기술의 발전으로 호중구 감소 환자들의 치료 예후가 점점 개선되고 있습니다.
- 영양과 호중구: 연구에 따르면, 영양 상태가 호중구 수치에 직접적인 영향을 미친다는 점이 강조되고 있습니다.