폐렴 초기증상: 알아두어야 할 주요 정보
- 카테고리 없음
- 2024. 12. 30. 17:29
폐렴 초기증상: 알아두어야 할 주요 정보
폐렴은 폐에 염증이 생겨 호흡이 어려워지는 질환으로, 초기증상을 조기에 파악하고 치료를 시작하는 것이 매우 중요합니다. 이번 글에서는 폐렴 초기증상과 관련된 정보를 자세히 살펴보고, 예방과 치료를 위한 유용한 팁을 알려드리겠습니다.
1. 폐렴 초기증상: 어떤 신호를 주목해야 할까?



폐렴 초기에는 감기와 유사한 증상이 나타날 수 있어 구분하기 어렵습니다. 하지만 몇 가지 특징적인 증상이 있으니 주의 깊게 살펴보세요.
- 기침: 지속적인 기침이 발생하며, 가래가 동반될 수 있습니다. 가래는 투명, 노란색, 혹은 녹색을 띠기도 합니다.
- 고열 및 오한: 폐렴 초기에는 고열이 나타날 수 있으며, 한기가 느껴지는 오한 증상이 동반되기도 합니다.
- 호흡 곤란: 폐에 염증이 생기면서 호흡이 어려워지고, 숨이 가빠지는 증상이 나타납니다.
- 흉통: 기침하거나 숨을 깊게 들이쉴 때 가슴에 통증이 느껴질 수 있습니다.
- 피로감 및 근육통: 몸이 무겁고 피로감이 지속되며 근육통이 함께 나타날 수 있습니다.
폐렴의 초기증상은 일반 감기와 구분하기 어렵지만, 증상이 심하거나 장기화된다면 반드시 병원을 방문해야 합니다.
2. 폐렴 초기증상과 감기의 차이점



폐렴 초기증상과 감기는 비슷해 보일 수 있으나 몇 가지 차이가 있습니다.
- 증상의 지속 기간: 감기는 보통 7일 이내에 호전되는 반면, 폐렴은 증상이 악화되거나 장기화되는 경향이 있습니다.
- 호흡 곤란의 유무: 감기에서는 일반적으로 호흡 곤란이 나타나지 않지만, 폐렴에서는 흔히 발생합니다.
- 가래의 색상: 감기의 가래는 주로 투명한 반면, 폐렴에서는 녹색, 갈색, 또는 혈액이 섞일 수 있습니다.
- 고열: 감기는 미열이 나타날 수 있지만, 폐렴은 고열이 동반되며, 뚜렷한 오한을 느낄 수 있습니다.
이러한 차이를 통해 폐렴 가능성을 조기에 발견하고 적절히 대응하는 것이 중요합니다.
3. 폐렴 진단 과정: 병원에서 어떤 검사를 받을까?



폐렴이 의심될 경우, 병원에서는 다양한 진단 방법을 통해 정확한 상태를 파악합니다.
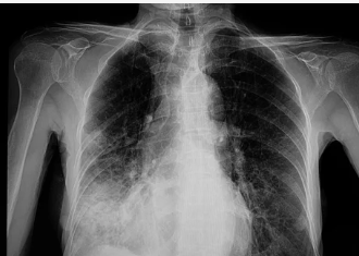
- 흉부 X-ray: 폐의 염증 상태를 확인하기 위해 가장 기본적으로 시행되는 검사입니다.
- 혈액 검사: 염증 수치(CRP)와 백혈구 수치를 확인하여 감염 여부를 파악합니다.
- 가래 검사: 가래의 배양 검사를 통해 폐렴을 유발한 원인균을 확인합니다.
- 산소포화도 검사: 폐 기능을 평가하기 위해 혈액 내 산소 농도를 측정합니다.
정확한 진단을 통해 원인에 맞는 적절한 치료법을 선택하는 것이 핵심입니다.
4. 폐렴 예방 방법: 초기증상을 막는 건강 관리



폐렴은 예방이 가능한 질병입니다. 일상생활에서 아래의 방법들을 실천해보세요.
- 백신 접종: 폐렴구균 백신과 독감 백신은 폐렴 예방에 효과적입니다.
- 손 씻기: 손을 깨끗이 씻어 세균과 바이러스 감염을 예방하세요.
- 면역력 강화: 규칙적인 운동과 균형 잡힌 식단으로 면역력을 높이는 것이 중요합니다.
- 흡연 금지: 흡연은 폐 기능을 약화시키고, 폐렴 위험을 높입니다.
- 규칙적인 건강검진: 고위험군(65세 이상, 만성질환자 등)은 정기적인 검진을 통해 조기 발견에 힘써야 합니다.
5. 폐렴과 관련된 최신 연구 및 추가 정보



최근 연구에 따르면, 폐렴은 특히 면역력이 약한 사람들에게 치명적일 수 있으며, 적절한 관리가 필요합니다. 다음은 관련 자료와 참고 사이트입니다.
- 세계보건기구(WHO): 폐렴 예방 및 관리 가이드를 제공합니다.
- 질병관리청(KDCA): 폐렴 예방접종과 관련된 정보를 확인할 수 있습니다.
- 폐렴구균 백신 정보: 폐렴 예방을 위한 백신에 대한 자세한 정보를 제공하는 사이트입니다.
폐렴 초기증상은 감기와 혼동하기 쉽지만, 신속히 대처하면 합병증을 예방할 수 있습니다. 이번 글이 폐렴에 대한 이해를 돕는 데 유익한 정보가 되었길 바랍니다. 건강한 생활 습관을 통해 폐렴을 예방하세요!