치은염 vs 치주염 차이점 총정리
- 카테고리 없음
- 2025. 2. 1. 16:18
치은염 vs 치주염 차이점 총정리
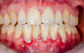
치은염과 치주염은 잇몸(치주 조직)에 발생하는 염증성 질환이지만, 진행 정도와 치료 방법에서 차이가 크다.
치은염은 비교적 가벼운 초기 단계의 잇몸 염증이며, 치주염은 치아를 지탱하는 치주 조직(잇몸, 치주인대, 치조골)이 손상되는 심각한 상태이다. 이번 글에서는 치은염과 치주염의 차이점, 증상, 원인, 치료 방법을 자세하게 정리해보겠다.
1. 치은염과 치주염의 주요 차이점



구분 치은염 (Gingivitis) 치주염 (Periodontitis)
| 질환 단계 | 초기 잇몸 염증 | 진행된 잇몸 질환 |
| 염증 부위 | 잇몸(치은)에 국한 | 치은 + 치주인대 + 치조골까지 진행 |
| 잇몸 출혈 | 양치할 때 출혈 가능 | 심한 출혈, 고름 가능 |
| 통증 | 보통 없음 | 심한 경우 치아 통증 가능 |
| 잇몸 후퇴 | 거의 없음 | 심하면 치아 뿌리가 노출됨 |
| 치조골(잇몸뼈) 손상 | 없음 | 심하면 치조골이 흡수됨 |
| 치아 흔들림 | 없음 | 심한 경우 치아가 흔들리거나 빠질 수 있음 |
| 가역성(회복 가능 여부) | 양치 및 스케일링으로 완전 회복 가능 | 치료하지 않으면 영구적 손상 가능 |
| 치료 방법 | 올바른 칫솔질, 스케일링 | 치주 치료(치석 제거, 치주 수술 등) 필요 |
📌 결론: 치은염은 초기에 관리하면 완치 가능하지만, 치주염은 진행되면 회복이 어렵고 치아를 상실할 위험이 크다.
2. 치은염 (Gingivitis) 증상 및 치료 방법



✅ (1) 치은염의 주요 증상
- 잇몸이 붉어지고 부어오름
- 양치하거나 치실 사용 시 출혈 발생
- 잇몸이 약간 예민해지고 자극을 받으면 아플 수 있음
- 잇몸에서 약한 통증이 느껴질 수도 있음
- 구취(입 냄새)가 심해질 수 있음
✅ (2) 치은염의 원인
- 치태(플라그, Plaque) 축적: 음식물 찌꺼기가 쌓이면서 세균이 번식
- 잘못된 칫솔질: 치아와 잇몸 사이에 플라그가 제거되지 않으면 염증 발생
- 흡연: 담배의 독성 물질이 잇몸 건강을 악화
- 호르몬 변화: 임신, 생리, 폐경기 동안 호르몬 변화로 인해 잇몸이 예민해질 수 있음
- 면역력 저하: 스트레스, 수면 부족, 당뇨병 등으로 면역력이 낮아지면 세균 감염 증가
✅ (3) 치은염 치료 방법
📌 치은염은 초기에 치료하면 완치 가능!
✔ 올바른 칫솔질
- 하루 2~3회 부드러운 칫솔로 치아와 잇몸 경계를 깨끗하게 닦기
- 치간 칫솔, 치실(데ンタ르 플로스) 사용하여 플라그 제거
✔ 스케일링(치석 제거)
- 치석이 쌓이면 잇몸 염증이 악화되므로 치과에서 6개월~1년마다 스케일링 추천
✔ 구강 세정제 사용
- 클로르헥시딘(Chlorhexidine) 성분이 포함된 가글을 사용하면 세균 제거 효과적
✔ 흡연 줄이기 & 면역력 관리
- 금연, 충분한 수면, 균형 잡힌 식사를 통해 면역력 유지
📌 치은염은 적절한 구강 위생을 유지하면 완전히 회복될 수 있다.
3. 치주염 (Periodontitis) 증상 및 치료 방법



✅ (1) 치주염의 주요 증상
- 잇몸이 심하게 붓고 만성 염증 지속
- 잇몸에서 고름이 나올 수 있음
- 양치할 때뿐만 아니라 가만히 있어도 출혈 가능
- 잇몸이 점점 내려가면서 치아 뿌리가 노출됨
- 치조골이 손실되면서 치아가 흔들리거나 빠질 수 있음
- 심한 경우 씹을 때 통증 발생
- 입에서 지속적인 악취(구취) 발생
✅ (2) 치주염의 원인
- 치은염을 방치하여 악화된 경우
- 치석이 많아지면서 잇몸과 치조골까지 손상
- 흡연, 당뇨, 스트레스, 면역력 저하 등이 치주염 악화 요인
- 유전적 요인으로 인해 잇몸이 약한 사람도 있음
✅ (3) 치주염 치료 방법
📌 치주염은 진행되면 회복이 어려우므로 반드시 적극적인 치료가 필요!
✔ 비수술적 치료 (초기 치주염)
- 스케일링(치석 제거)
- 치아 표면의 치석과 플라그를 제거
- 치근 활택술(Scaling & Root Planing, SRP)
- 잇몸 아래쪽 깊이 쌓인 치석과 감염 조직을 제거하는 치료
- 항생제 치료
- 심한 염증이 있으면 국소 항생제(구강용 젤) 또는 경구 항생제 복용
✔ 수술적 치료 (심한 치주염)
- 치주 판막 수술(Flap Surgery)
- 치석이 깊이 쌓여 있거나 치조골 손실이 있는 경우, 잇몸을 절개하여 치석과 염증 조직을 제거
- 골 이식술 (치조골 재생 치료)
- 치조골이 심하게 흡수된 경우 인공 뼈를 이식하여 뼈 재생 유도
📌 치주염이 심한 경우, 수술적 치료가 필요하며 치료 후에도 철저한 관리가 필수적이다.
4. 치은염과 치주염 예방법



✅ (1) 올바른 양치질 습관
- 치아뿐만 아니라 잇몸까지 부드럽게 닦기
- 하루 2~3회 양치 + 치실 & 치간 칫솔 사용 필수
✅ (2) 정기적인 스케일링
- 치석이 많이 쌓이면 치주염으로 발전하므로 6개월~1년마다 스케일링 받기
✅ (3) 금연하기
- 흡연은 치주염의 가장 큰 위험 요인
- 흡연자는 비흡연자보다 치주염 발생률이 2~7배 높음
✅ (4) 건강한 식습관 유지
- 비타민C, 칼슘, 단백질이 풍부한 식단 유지
- 설탕과 산성이 강한 음식(탄산음료, 단 음식) 줄이기
✅ (5) 스트레스 관리 & 면역력 유지
- 스트레스가 심하면 면역력이 약해져 치주염 악화 가능성 증가
📌 치주염은 예방이 가장 중요한 질환이므로, 평소 치은염 단계에서 적극적으로 관리하는 것이 필수적이다.
5. 결론



✔ 치은염은 잇몸 염증이지만, 치조골 손상 없이 치료 가능
✔ 치주염은 잇몸뿐만 아니라 치조골까지 손상되며, 심하면 치아가 빠질 수 있음
✔ 치주염은 한 번 진행되면 회복이 어려우므로, 조기에 관리해야 함
✔ 정기적인 스케일링, 올바른 칫솔질, 금연, 건강한 식습관 유지가 필수