잇몸에서 피가 나는 이유 및 해결 방법
- 카테고리 없음
- 2025. 2. 1. 22:37
잇몸에서 피가 나는 이유 및 해결 방법
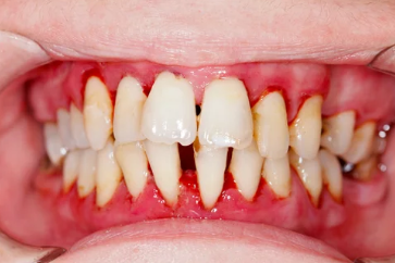
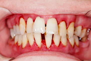
잇몸 출혈(잇몸에서 피가 나는 증상)은 치은염, 치주염, 구강 위생 불량, 영양 부족 등 다양한 원인으로 발생할 수 있다. 가볍게 지나칠 수도 있지만, 만성적으로 출혈이 지속되면 치주 질환(잇몸 질환)으로 진행될 가능성이 높으므로 주의해야 한다. 이번 글에서는 잇몸에서 피가 나는 원인과 해결 방법을 5개 항목으로 정리해보겠다.
1. 잇몸에서 피가 나는 주요 원인



✅ (1) 치은염(잇몸 염증) – 가장 흔한 원인
- 치태(플라그)가 쌓이면 세균이 번식하여 잇몸 염증 발생
- 양치할 때 잇몸이 붉어지고 쉽게 출혈
- 초기 단계에서는 통증이 거의 없지만, 방치하면 치주염으로 악화
✅ (2) 치주염(심한 잇몸 질환) – 잇몸뼈 손실 가능
- 치은염이 심해지면 치조골(잇몸뼈)이 손상되는 치주염으로 진행
- 잇몸이 붓고 만성적인 출혈 및 고름이 발생할 수 있음
- 심하면 치아가 흔들리거나 빠질 수도 있음
✅ (3) 잘못된 칫솔질 – 너무 강하게 양치하는 경우
- 칫솔질할 때 힘을 너무 주면 잇몸이 손상되어 피가 남
- 딱딱한 칫솔을 사용하면 잇몸이 마모되고 출혈 가능성 증가
- 올바른 양치법(부드럽게 닦기)과 적절한 칫솔 선택이 중요
✅ (4) 영양 결핍(비타민C, 비타민K 부족)
- 비타민C 부족(괴혈병) → 잇몸이 약해지고 쉽게 피가 남
- 비타민K 부족 → 혈액 응고 기능이 저하되어 출혈 증가
- 균형 잡힌 식사를 통해 필수 영양소 보충 필요
✅ (5) 전신 질환(당뇨병, 혈액질환) 및 약물 영향
- 당뇨병 환자는 면역력이 약해져 잇몸 염증이 쉽게 발생
- 백혈병, 혈우병 등 혈액 응고 장애가 있는 경우 출혈 지속 가능
- 혈액순환 개선제(아스피린, 와파린) 복용 시 잇몸 출혈 증가
📌 즉, 단순한 잇몸 문제뿐만 아니라 전신 건강과 관련될 수도 있으므로 지속적인 출혈이 있다면 치과 및 내과 검진이 필요하다.
2. 잇몸 출혈이 위험한 경우 (병원 방문이 필요한 경우)



✅ (1) 출혈이 2주 이상 지속될 때
✅ (2) 잇몸이 부어오르고, 붉거나 검붉게 변했을 때
✅ (3) 입에서 지속적인 악취(구취)가 발생할 때
✅ (4) 치아가 흔들리거나 고름이 나올 때
✅ (5) 양치할 때마다 피가 나거나, 특별한 이유 없이 출혈이 잦을 때
📌 이런 증상이 있다면 치주염 가능성이 높으므로 치과에서 정밀 검사를 받아야 한다.
3. 잇몸 출혈을 예방하는 생활 습관



✅ (1) 올바른 양치질 습관 유지
- 칫솔은 부드러운 모(소프트 타입) 사용
- 칫솔질할 때 너무 세게 닦지 말고 부드럽게 마사지하듯 양치
- 하루 2~3회, 2분 이상 꼼꼼하게 양치
✅ (2) 치실과 치간 칫솔 사용하기
- 칫솔만으로는 치아 사이의 플라그 제거가 어려움
- 하루 1회 치실 사용(부드럽게, 잇몸 손상 주의)
- 치간 칫솔을 사용하면 치태와 치석 예방에 효과적
✅ (3) 정기적인 스케일링 (치석 제거)
- 치석이 잇몸 염증을 유발하므로 6개월~1년에 1회 스케일링 권장
- 치주염이 있는 경우 치석 제거와 치근 활택술(SRP) 필요
✅ (4) 잇몸 건강에 좋은 음식 섭취
- 비타민C가 풍부한 과일(오렌지, 키위, 딸기) 섭취
- 비타민K가 포함된 녹색 채소(시금치, 브로콜리) 섭취
- 칼슘과 단백질이 풍부한 음식(치즈, 두부, 생선) 섭취
✅ (5) 흡연 및 음주 줄이기
- 흡연은 잇몸 혈액순환을 방해하여 염증을 악화
- 과음은 면역력을 저하시켜 잇몸 건강 악화
📌 잇몸 건강을 유지하려면 양치 습관, 식습관, 정기적인 스케일링 관리가 필수적이다.
4. 잇몸 출혈 치료 방법 (치과 치료)



✅ (1) 치석 제거(스케일링) 및 치주 치료
- 치은염 초기에는 스케일링(치석 제거)만으로도 호전 가능
- 치주염이 진행되면 치근 활택술(SRP), 치주 수술 필요할 수도 있음
✅ (2) 항염증제 및 구강 세정제 사용
- 클로르헥시딘 함유 구강 세정제 사용(잇몸 소독 효과)
- 심한 염증이 있으면 치과에서 항생제 처방 가능
✅ (3) 잇몸 치료용 치약 사용
- 구취 개선, 항염 효과가 있는 치약 사용
- 플라그 제거 및 치주 질환 예방 효과 있음
✅ (4) 필요 시 내과 진료 병행 (전신 질환 확인)
- 출혈이 지속되면 당뇨, 혈액 질환 검사 필요
- 혈압약, 항응고제 복용 중인 경우 복용 약물 점검 필요
📌 잇몸 출혈이 지속된다면, 치과 치료와 함께 전신 건강도 체크해보는 것이 중요하다.
5. 잇몸 출혈 Q&A (자주 묻는 질문)



❓ Q1. 양치할 때 피가 나면 어떻게 해야 하나요?
🚗 너무 세게 닦지 말고, 부드러운 칫솔을 사용하세요.
🚗 2주 이상 지속되면 치과 방문하여 검사받으세요.
❓ Q2. 치실을 사용할 때마다 피가 나는데 계속 사용해야 하나요?
🚗 초기에는 피가 날 수 있지만, 꾸준히 사용하면 잇몸이 강화됩니다.
🚗 올바른 방법으로 부드럽게 사용하세요.
❓ Q3. 잇몸에서 피가 나면 치과 치료가 꼭 필요한가요?
🚗 일시적인 출혈은 괜찮지만, 지속적인 출혈은 치주염 가능성이 높으므로 치과 검진이 필요합니다.
❓ Q4. 잇몸 출혈을 예방하는 가장 중요한 방법은 무엇인가요?
🚗 올바른 양치습관, 치실 사용, 정기적인 스케일링, 건강한 식습관 유지입니다.
📌 결론
✔ 잇몸 출혈은 치은염, 치주염, 영양 부족, 전신 질환 등의 원인으로 발생할 수 있음
✔ 치은염은 스케일링과 올바른 양치습관으로 개선 가능하지만, 치주염으로 진행되면 치아 상실 위험
✔ 정기적인 구강 관리(양치, 치실, 스케일링)로 예방 가능
✔ 2주 이상 지속적인 출혈이 있다면 반드시 치과에서 정밀 검사 필요
📌 잇몸 건강을 지키려면 올바른 구강 관리 습관이 필수!