악성 림프종 증상, 초기에 알아두어야 할 신호들
- 카테고리 없음
- 2025. 3. 24. 13:14
악성 림프종 증상, 초기에 알아두어야 할 신호들
**악성 림프종(Malignant Lymphoma)**은 면역세포인 림프구에서 발생하는 혈액암의 일종으로, 림프절·비장·골수·간 등 림프계 기관에 영향을 미칩니다. 조기에 발견되면 치료 효과가 좋은 암이지만, 초기 증상이 감기나 피로와 유사해 방치되기 쉬운 질환입니다. 이번 글에서는 악성 림프종의 대표 증상, 종류별 차이, 병원 방문 시점 등을 상세히 안내합니다.
1. 악성 림프종이란?



림프종은 백혈구의 일종인 림프구가 비정상적으로 증식하면서 생기는 암입니다. 크게 두 가지로 나뉩니다.
유형 설명
| 호지킨 림프종(Hodgkin lymphoma) | 드문 유형, 치료 반응이 좋음 |
| 비호지킨 림프종(Non-Hodgkin lymphoma) | 더 흔한 유형, 아형이 다양하고 증상도 다름 |
악성 림프종은 체내 어느 림프절이나 장기에서 발생할 수 있으며, 전신으로 퍼질 수 있습니다.
2. 가장 흔한 초기 증상: 림프절 비대



가장 대표적인 증상은 통증 없는 림프절 비대입니다.
- 목, 겨드랑이, 사타구니 림프절이 1cm 이상 커짐
- 단단하고 움직이지 않으며, 눌러도 아프지 않음
- 수 주 이상 지속되며 점점 커지거나 갯수 증가
※ 일반적인 감염에 의한 림프절 비대는 통증이 있고 1~2주 내 사라지지만, 악성 림프종은 무통성, 지속성이 특징입니다.
3. 전신 증상(B 증상)
림프종의 중요한 진단 지표 중 하나는 **“B 증상”**이라 불리는 전신 증상입니다.
증상 특징
| 야간 발한 | 잠자는 중 옷이 젖을 정도로 땀이 나는 증상 |
| 발열 | 특별한 감염 없이 반복적인 38도 이상 열 |
| 체중 감소 | 6개월 내 체중의 10% 이상 비자발적 감소 |
| 피로감 | 충분히 쉬어도 해결되지 않는 만성 피로 |
이런 증상들은 몸 안에서 암세포가 활발히 증식하고 있다는 신호일 수 있습니다.
4. 장기 침범에 따른 증상



림프종은 림프절 외에도 다양한 장기로 퍼질 수 있으며, 침범 부위에 따라 다음과 같은 증상이 나타납니다.
- 가슴 림프절: 기침, 호흡곤란, 흉통
- 복부 림프절: 복부 팽만감, 소화불량, 변비 또는 설사
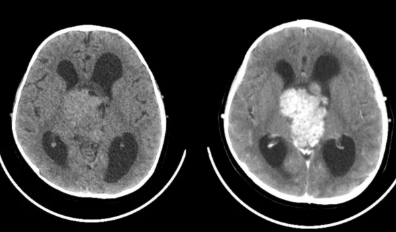
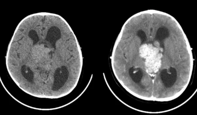
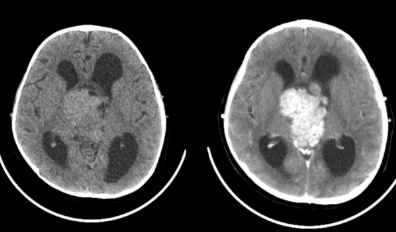
- 뇌/척수: 두통, 시야 흐림, 마비, 경련
- 피부 림프종: 피부 발진, 가려움, 붉은 결절
특히 비장·간이 커지면 복부가 더부룩하고 무겁게 느껴질 수 있으며, 심한 경우 식욕부진이나 구토 증상으로 이어지기도 합니다.
5. 혈액 이상 및 감염 증상



림프종이 골수를 침범하면 혈액 세포 감소로 이어져 다음과 같은 증상이 나타날 수 있습니다.
- 빈혈: 어지럼증, 피로감, 창백한 피부
- 백혈구 감소: 잦은 감염, 열
- 혈소판 감소: 멍, 코피, 잇몸 출혈
이러한 증상은 단순한 피로로 오해하기 쉽지만, 혈액검사로 확인 가능하므로 주기적인 건강검진이 중요합니다.
6. 이런 경우 병원 진료 필요
다음과 같은 증상이 2주 이상 지속되거나 점점 악화된다면, 혈액종양내과나 내과 진료를 권장합니다.
- 1cm 이상 크기의 림프절이 2주 이상 지속될 때
- 이유 없는 체중 감소, 밤에 땀이 나는 경우
- 지속적인 발열, 원인을 알 수 없는 피로감
- 피부에 원인 모를 발진, 가려움, 붉은 혹
- 복부 팽만감, 식욕부진, 잦은 복통
초기에는 혈액검사, 엑스레이, CT, 림프절 조직검사, PET-CT 등을 통해 진단하며, 정확한 아형 분류 후 치료 방침이 결정됩니다.