퇴행성 관절염 증상, 초기부터 말기까지 단계별 특징 정리
- 카테고리 없음
- 2025. 3. 26. 14:35
퇴행성 관절염 증상, 초기부터 말기까지 단계별 특징 정리
**퇴행성 관절염(Osteoarthritis)**은 나이가 들면서 관절의 연골이 닳아 없어지고, 관절을 이루는 뼈와 인대에 변화가 생겨 통증과 운동 제한이 나타나는 질환입니다. 흔히 ‘나이 들어 생기는 관절병’이라고도 불리며, 무릎, 손가락, 고관절, 척추 등 하중을 받는 관절에 주로 발생합니다. 이번 글에서는 퇴행성 관절염의 대표적인 증상, 초기·중기·말기별 변화, 감별 질환, 진단 및 관리법까지 자세히 정리합니다.
1. 퇴행성 관절염의 대표 증상



증상 설명
| 관절 통증 | 움직일 때 통증이 나타나며, 쉬면 완화되는 특징 |
| 관절 뻣뻣함 | 아침에 10분 이내의 관절 경직이 대표적 (류마티스는 30분 이상) |
| 관절 움직임 감소 | 관절을 펴거나 굽히는 각도가 줄어들고, 관절이 뻣뻣해짐 |
| 소리 및 마찰음 | 관절을 움직일 때 딱딱, 뚝뚝 소리가 나며, 거칠게 느껴짐 |
| 관절 부종 및 열감 | 염증이 동반되면 관절이 붓고 따뜻해짐 (일시적일 수 있음) |
| 계단 오르내릴 때 통증 | 특히 무릎 관절염의 경우 계단 내려올 때 통증이 심함 |
2. 증상 진행 단계별 특징



구분 증상 특징
| 초기 |
- 관절 사용 후 불편함
- 일시적인 통증
- 뻣뻣하지만 회복 빠름 | | 중기 |
- 움직일 때마다 통증 발생
- 계단, 앉았다 일어날 때 힘듦
- 관절 사이 간격 좁아짐 | | 말기 |
- 휴식 시에도 통증
- 관절 변형, 다리 휘어짐
- 걷기 불편, 보행 보조기 필요 가능 |
📌 말기로 갈수록 연골 소실과 뼈 마찰로 인해 생활 기능 저하와 만성 통증이 지속됩니다.
3. 발생 부위별 증상 차이



부위 증상
| 무릎 | 통증, 부종, O자형 다리 변형, 걷기 어려움 |
| 손가락 | 마디가 굵어지고, 통증 + 관절 돌출(헤버든 결절) |
| 고관절(엉덩이 관절) | 사타구니 통증, 다리 들기 어려움, 다리 길이 차이 |
| 척추 | 허리 통증, 신경 눌림에 따른 다리 저림 가능 |
| 발목/발가락 | 통증으로 보행 불편, 신발 신기 어려움 |
4. 퇴행성 관절염과 감별해야 할 질환



질환 구별 포인트
| 류마티스 관절염 | 아침 경직 30분 이상, 대칭 관절염, 자가면역 질환 |
| 통풍 | 갑작스러운 심한 통증과 부종, 주로 엄지발가락 |
| 무릎 반월상연골 파열 | 딸깍 소리, 무릎 잠김 현상 동반 |
| 점액낭염/건염 | 국소 통증, 눌렀을 때 압통 심함, 전신 증상 없음 |
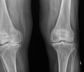
5. 퇴행성 관절염 진단 방법



검사 설명
| X-ray(방사선 촬영) | 관절 간격 감소, 뼈 돌출(골극), 변형 여부 확인 |
| MRI | 연골 손상, 인대 이상 등 정밀 확인 |
| 혈액검사 | 염증 수치 확인, 류마티스와 감별용 |
| 신체 진찰 | 관절 가동 범위, 부종, 압통 여부 확인 |
6. 퇴행성 관절염 관리 및 치료법
치료 방법 설명
| 약물 치료 | 진통제(타이레놀), NSAIDs(비스테로이드 항염제), 관절주사 |
| 물리치료 및 운동 | 무릎 근력 강화, 수중 운동, 걷기보다 실내 자전거 추천 |
| 체중 감량 | 체중 1kg당 무릎에 가해지는 하중 4kg 감소 효과 |
| 보조기구 사용 | 무릎 보호대, 지팡이, 깔창 등 |
| 주사 치료 |
- 히알루론산 주사: 관절 윤활
- 스테로이드 주사: 염증 조절 (단기)
- 프롤로주사, DNA 주사 등도 보조적 사용 | | 수술 |
- 연골 성형술, 인공관절 수술(TKR)
- 말기 환자 또는 기능장애 심할 때 고려
결론 요약
- 퇴행성 관절염은 연령 증가, 과체중, 반복적 관절 사용 등이 원인이며
- 통증, 관절 뻣뻣함, 운동 제한이 대표 증상입니다.
- 초기엔 보존적 치료로 충분히 관리 가능하나, 말기엔 수술 고려 필요
- 조기 진단과 근력 유지, 체중 관리가 가장 중요한 예방과 치료의 열쇠입니다.