폐결핵 증상 – 감기처럼 시작되지만, 오래 가고 점점 심해진다면 의심해야 합니다
- 카테고리 없음
- 2025. 6. 18. 23:25
폐결핵 증상 – 감기처럼 시작되지만, 오래 가고 점점 심해진다면 의심해야 합니다
폐결핵은 **결핵균(Mycobacterium tuberculosis)**이 폐에 감염되어 염증을 일으키는 질환입니다. 과거에는 ‘잊혀진 질병’이었지만, 최근 면역 저하자와 고령 인구 증가로 인해 다시 증가하는 추세입니다. 감기와 유사한 증상으로 시작하지만, 몇 주 이상 기침이 계속되거나 밤에 식은땀이 나는 경우는 반드시 결핵을 의심해봐야 합니다. 이 글에서는 폐결핵의 주요 증상, 전염성 여부, 진행 양상까지 상세히 정리해드립니다.
1. 폐결핵의 주요 증상 – 감기와는 다른 ‘지속성’이 핵심



구분 증상 특징
| 기침 | 3주 이상 지속되는 마른기침 or 가래기침 | 가장 흔한 초기 증상 |
| 객혈 | 가래에 피가 섞이거나, 선홍색 피가 나옴 | 병이 진행된 경우 |
| 발열 | 미열이 오후에 자주 발생 | 열이 오래 지속됨 |
| 야간 발한 | 밤에 식은땀으로 속옷이나 이불이 젖을 정도 | 매우 전형적인 증상 |
| 체중 감소 | 이유 없이 점점 살이 빠짐 | 식욕저하 동반 |
| 피로감 | 전신 쇠약감, 의욕 저하 | 만성감염의 전형적인 특징 |
| 흉통 | 기침할 때 통증, 숨쉴 때 찌릿한 느낌 | 흉막 침범 시 발생 |
→ 위 증상 중 2가지 이상이 수주 이상 지속되면 결핵 검사 권장
2. 폐결핵의 진행 단계별 증상 차이



단계 설명 주된 증상
| 초기 (1~2주) | 폐에 염증 시작, 면역 반응 진행 | 마른기침, 피로, 미열 |
| 중기 (3주 이상) | 폐조직 손상, 염증 확산 | 가래 기침, 야간 발한, 식욕저하 |
| 말기 (진행형 결핵) | 폐포 파괴, 객혈 및 전신 침범 | 심한 체중감소, 빈혈, 흉통 |
3. 폐결핵은 전염성이 있는가?



- 전염성 있음 (특히 활동성 결핵 환자)
- 기침, 재채기, 대화 시 공기 중 결핵균이 퍼짐
- 밀폐된 공간에서 전염 가능성 ↑
- 잠복결핵은 전염성 없음 (균은 있으나 증상·전염력 없음)
4. 폐결핵과 감기의 구별 포인트



항목 폐결핵 감기
| 기침 | 3주 이상 지속, 점점 심해짐 | 1~2주 내 호전 |
| 발열 | 오후 미열, 오랜 지속 | 고열이나 단기적 열 |
| 체중 변화 | 눈에 띄는 체중 감소 | 변화 없음 |
| 식은땀 | 자주, 심하게 흘림 | 거의 없음 |
| 약 반응 | 항생제 반응 미미 | 일반 감기약 반응 좋음 |
5. 폐결핵이 의심될 때 받는 검사



검사 목적
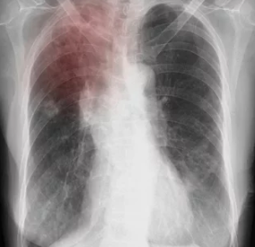
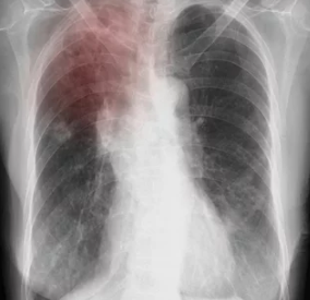
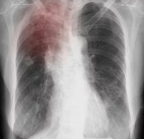
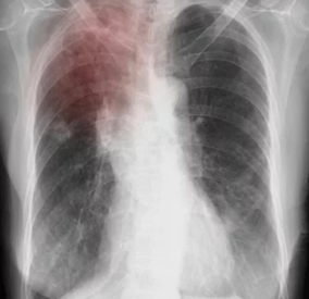
| 흉부 X-ray | 폐 병변, 섬유화, 공동 등 확인 |
| 객담 도말검사 (도말·배양) | 결핵균 존재 확인 (결핵 진단 핵심) |
| 결핵 PCR 검사 | 결핵균 DNA를 신속하게 검출 |
| TST / IGRA | 잠복결핵 여부 확인 |
6. 고위험군 – 이런 사람은 증상 없어도 정기 검사 필요
- 65세 이상 고령자
- 면역 억제 치료 중인 환자 (항암, 류마티스, 장기이식 등)
- 당뇨, 만성 신부전 등 만성질환자
- 결핵 환자와 밀접 접촉한 가족·동거인
- 과거 결핵 병력자
7. 폐결핵과 관련된 오해 바로잡기
오해 진실
| 결핵은 가난한 나라 병이다 | 한국은 OECD 국가 중 결핵 발생률 1위 |
| 기침만 하면 결핵이다 | 기침만으론 단정할 수 없음. 지속성과 동반증상 확인 필수 |
| 잠복결핵은 치료할 필요 없다 | 면역 저하 시 발병 가능, 치료 권장 |
| 치료 시작하면 바로 나아진다 | 약 복용 최소 6개월 이상, 중단 시 재발 가능 |
8. 폐결핵을 예방하는 생활수칙
- 정기 검진: 특히 고위험군은 연 1회 흉부 X-ray
- 기침 예절: 마스크 착용, 기침 시 휴지로 입 가리기
- 영양 관리: 체력과 면역 유지 중요
- 적극적인 치료 완료: 약물 복용 중단 금지
- 실내 환기와 청결 유지