폐결절 좋은 음식 알아보기
- 카테고리 없음
- 2024. 6. 18. 22:00
폐 결절, 음식으로 관리하세요! 폐 건강 지킴이 음식 TOP 5 & 건강 습관 완벽 가이드
폐 결절은 폐에 생긴 작은 혹으로,
대부분 양성이지만 악성 종양일 가능성도 있어 정기적인 검진과 관리가 필요합니다.
식습관 개선은 폐 결절 예방 및 관리에 중요한 역할을 합니다.
오늘은 폐 건강에 도움을 주는 음식 TOP 5를 소개하고,
폐 결절 예방 및 관리에 도움이 되는 건강 습관까지 꼼꼼하게 알려드립니다.
폐 건강, 이제 음식과 생활 습관으로 지켜보세요!
1. 폐 결절, 왜 생길까요? 내 폐 건강의 적신호!



폐 결절은 폐에 생긴 작은 혹으로,
다양한 원인에 의해 발생할 수 있습니다.
대부분은 양성이지만, 일부는 악성 종양으로 발전할 수 있어 주의가 필요합니다.
폐 결절 발생 원인:
- 흡연: 흡연은 폐암의 가장 큰 위험 요소이며, 폐 결절 발생 위험도 높입니다.
- 미세먼지, 대기오염: 미세먼지, 황사 등 대기오염 물질은 폐에 염증을 유발하고 폐 결절 발생 위험을 높입니다.
- 직업적 노출: 석면, 라돈, 비소 등 유해 물질에 노출되는 직업군은 폐 결절 발생 위험이 높습니다.
- 폐렴, 결핵 등 감염: 폐렴, 결핵 등 폐 감염은 폐 조직에 손상을 주고 폐 결절을 유발할 수 있습니다.
- 유전적 요인: 가족력이 있는 경우 폐 결절 발생 위험이 높아질 수 있습니다.
2. 폐 결절, 어떤 증상이 나타날까요?



폐 결절은 초기에는 특별한 증상이 없을 수 있습니다.
하지만 결절이 커지거나 악성으로 변하면 다음과 같은 증상이 나타날 수 있습니다.
- 기침: 마른기침, 가래 섞인 기침 등 다양한 형태의 기침이 나타날 수 있습니다.
- 가슴 통증: 폐 결절이 커지면서 폐나 흉막을 자극하여 가슴 통증을 유발할 수 있습니다.
- 호흡곤란: 폐 기능 저하로 인해 호흡곤란이 발생할 수 있습니다.
- 객혈: 기침할 때 피가 섞여 나오는 증상입니다.
- 체중 감소: 암세포가 에너지를 소모하면서 체중이 감소할 수 있습니다.
3. 폐 결절, 어떻게 진단하나요? 조기 발견이 중요!



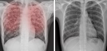
폐 결절은 건강검진 시 흉부 X-ray 검사나 저선량 흉부 CT 검사를 통해 우연히 발견되는 경우가 많습니다.
결절 크기, 모양, 위치, 석회화 여부 등을 종합적으로 고려하여 악성 여부를 판단합니다.
필요한 경우에는 조직 검사를 시행하여 정확한 진단을 내립니다.
4. 폐 건강 지킴이! 폐 결절에 좋은 음식 TOP 5



폐 결절에 좋은 음식은 항산화 작용을 하거나 면역력을 강화하는 음식입니다.
다음은 폐 결절 예방 및 관리에 도움이 되는 음식 TOP 5입니다.
- 브로콜리: 설포라판 성분이 풍부하여 폐암 세포 성장을 억제하고 염증을 완화하는 효과가 있습니다.
- 마늘: 알리신 성분이 면역력을 강화하고 항균 작용을 하여 폐 건강에 도움을 줍니다.
- 녹차: 카테킨 성분이 항산화 작용을 하여 폐 세포를 보호하고 염증을 완화하는 효과가 있습니다.
- 토마토: 라이코펜 성분이 항산화 작용을 하여 폐암 예방에 도움을 줄 수 있습니다.
- 배: 루테올린 성분이 폐 염증을 완화하고 기관지 건강을 개선하는 데 도움을 줍니다.
5. 폐 결절 예방 및 관리, 건강 습관이 핵심!



폐 결절 예방 및 관리를 위해서는 건강한 생활 습관을 유지하는 것이 중요합니다.
- 금연: 흡연은 폐암의 가장 큰 위험 요소입니다. 금연은 폐 건강을 지키는 가장 중요한 방법입니다.
- 미세먼지 차단: 미세먼지 농도가 높은 날에는 외출을 자제하고, 외출 시에는 마스크를 착용해야 합니다.
- 실내 환기: 하루에 2~3회, 30분 이상 창문을 열어 실내 공기를 환기해야 합니다.
- 규칙적인 운동: 유산소 운동은 폐 기능을 강화하고 면역력을 높이는 데 도움이 됩니다.
- 균형 잡힌 식단: 폐 건강에 좋은 음식을 섭취하고, 가공식품, 인스턴트 식품, 고지방 음식은 피하는 것이 좋습니다.
- 충분한 수분 섭취: 물을 충분히 마시면 폐 점막을 촉촉하게 유지하고 면역력을 강화하는 데 도움이 됩니다.
- 정기적인 검진: 흉부 X-ray 검사나 저선량 흉부 CT 검사를 통해 폐 결절을 조기에 발견하고 치료하는 것이 중요합니다.
폐 결절, 조기 발견과 꾸준한 관리가 중요합니다!
폐 결절은 초기에는 특별한 증상이 없을 수 있지만, 방치하면 악성 종양으로 발전할 수 있습니다.
따라서 정기적인 검진을 통해 폐 결절을 조기에 발견하고,
전문의와 상담하여 적절한 치료와 관리를 받는 것이 중요합니다.
또한, 건강한 생활 습관을 유지하여 폐 건강을 지키고 폐 결절을 예방하는 것이 중요합니다.
폐 결절, 이제 걱정하지 마세요!
오늘 알려드린 정보들을 바탕으로 폐 결절을 예방하고 건강한 폐를 유지하시길 바랍니다.