폐렴 증상 원인 치료방법
- 카테고리 없음
- 2024. 6. 21. 19:30
폐렴 증상, 당신의 폐가 보내는 SOS 신호! 놓치지 말고 확인하세요 (2024년 최신)
[Image of 폐렴 증상]
혹시 기침, 가래, 호흡곤란 등 감기와 비슷한 증상이 2주 이상 지속되고 있나요? 단순 감기로 오인하기 쉬운 폐렴은 폐에 염증이 생기는 질환으로, 방치하면 심각한 합병증을 초래할 수 있습니다. 특히 면역력이 약한 어린이나 노약자에게는 더욱 위험합니다. 이 글에서는 폐렴의 다양한 증상과 함께 원인, 종류, 진단, 치료, 예방법까지 상세히 알려드립니다. 폐렴에 대한 정확한 정보를 통해 건강을 지키고 폐렴의 위험으로부터 벗어나세요!
1. 폐렴, 왜 생기는 걸까요? 다양한 원인과 위험 요인



폐렴은 세균, 바이러스, 곰팡이 등 다양한 미생물 감염으로 인해 발생합니다. 면역력이 약해진 상태에서 폐에 침투한 미생물은 염증을 일으키고, 이로 인해 기침, 가래, 호흡곤란 등 다양한 증상이 나타납니다.
폐렴 원인:
- 세균성 폐렴: 폐렴구균, 헤모필루스 인플루엔자균, 황색포도상구균 등 세균 감염으로 발생합니다.
- 바이러스성 폐렴: 인플루엔자 바이러스, 코로나바이러스, 아데노바이러스 등 바이러스 감염으로 발생합니다.
- 곰팡이성 폐렴: 면역력이 약한 사람에게 주로 발생하며, 진균 감염으로 발생합니다.
- 흡인성 폐렴: 음식물, 침, 위산 등이 기도로 넘어가 폐에 염증을 일으키는 경우입니다.
폐렴 위험 요인:
- 면역력 저하: 어린이, 노약자, 만성 질환자, 흡연자 등 면역력이 약한 사람은 폐렴에 걸릴 위험이 높습니다.
- 만성 질환: 당뇨병, 심혈관 질환, 만성 폐쇄성 폐 질환 (COPD) 등 만성 질환은 폐렴 발생 위험을 높입니다.
- 흡연: 흡연은 폐 기능을 저하시키고 면역력을 약화시켜 폐렴에 취약하게 만듭니다.
- 음주: 과도한 음주는 면역 체계를 약화시키고 폐렴 발병 위험을 높입니다.
- 영양 불균형: 영양 상태가 좋지 않으면 면역력이 저하되어 폐렴에 걸리기 쉽습니다.
2. 폐렴, 어떤 증상이 나타나나요? 감기와 다른 점은?



폐렴 증상은 감기와 비슷하여 초기에는 구별하기 어려울 수 있습니다. 하지만 폐렴은 감기보다 증상이 더 심하고 오래 지속되며, 고열, 호흡곤란, 가슴 통증 등 심각한 증상을 동반할 수 있습니다.
폐렴 증상:
- 기침: 마른기침, 가래 섞인 기침 등 다양한 형태의 기침이 나타납니다.
- 가래: 끈적하고 누런 가래, 피 섞인 가래 등이 나올 수 있습니다.
- 호흡곤란: 숨이 차고 답답하며, 숨을 깊게 쉬기 어렵습니다.
- 가슴 통증: 기침하거나 숨을 쉴 때 가슴 통증이 느껴질 수 있습니다.
- 고열: 38도 이상의 고열이 발생할 수 있습니다.
- 오한: 춥고 떨리는 증상이 나타날 수 있습니다.
- 근육통: 온몸에 근육통이 느껴질 수 있습니다.
- 피로감: 쉽게 피로해지고 무기력해집니다.
- 식욕 부진: 입맛이 없고 식사량이 줄어듭니다.
감기와 폐렴 증상 비교:
| 증상 | 감기 | 폐렴 |
|---|---|---|
| 기침 | 1주일 이내 | 2주 이상 지속 |
| 가래 | 맑은 콧물 | 끈적하고 누런 가래, 피 섞인 가래 |
| 호흡곤란 | 경미함 | 심함 |
| 가슴 통증 | 드물게 발생 | 발생 가능성 높음 |
| 고열 | 38도 미만 | 38도 이상 |
| 오한 | 경미함 | 심함 |
| 근육통 | 경미함 | 심함 |
| 피로감 | 경미함 | 심함 |
3. 폐렴, 왜 조기 진단이 중요한가요? 합병증 예방과 빠른 회복



폐렴은 조기에 진단하고 치료하면 완치 가능성이 높지만, 방치할 경우 심각한 합병증을 유발할 수 있습니다.
폐렴 합병증:
- 패혈증: 혈액을 통해 온몸으로 염증이 퍼지는 심각한 상태입니다.
- 급성 호흡곤란 증후군: 폐 기능이 급격히 악화되어 호흡 곤란을 일으키는 상태입니다.
- 흉막염: 폐를 둘러싸고 있는 흉막에 염증이 생기는 질환입니다.
- 폐농양: 폐에 고름이 차는 질환입니다.
- 만성 폐쇄성 폐 질환 (COPD): 폐 기능이 점차 저하되는 만성 질환입니다.
조기 진단의 중요성:
- 합병증 예방: 조기에 진단하고 치료하면 합병증 발생 위험을 낮출 수 있습니다.
- 빠른 회복: 치료 시기를 놓치면 회복이 더디고 후유증이 남을 수 있습니다.
- 사망률 감소: 특히 노약자나 만성 질환자는 폐렴으로 인한 사망률이 높으므로 조기 진단과 치료가 매우 중요합니다.
4. 폐렴, 어떻게 진단하나요? 병력 청취부터 영상 검사까지



폐렴 진단은 환자의 병력 청취, 신체 검사, 혈액 검사, 가래 검사, 흉부 X-ray, CT 등 다양한 검사를 통해 이루어집니다.
폐렴 진단 검사:
- 병력 청취: 기침, 가래, 호흡곤란 등 증상 발생 시기, 기간, 양상 등을 확인합니다.
- 신체 검사: 청진기를 통해 폐 소리를 듣고, 흉부 타진을 통해 폐 상태를 확인합니다.
- 혈액 검사: 염증 수치, 백혈구 수치 등을 확인하여 감염 여부를 판단합니다.
- 가래 검사: 가래를 채취하여 세균, 바이러스, 곰팡이 등 감염 원인균을 확인합니다.
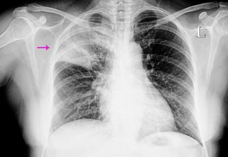
- 흉부 X-ray: 폐렴 병변 위치와 크기를 확인합니다.
- CT: 흉부 X-ray보다 더 정밀하게 폐렴 병변을 확인할 수 있습니다.
5. 폐렴, 어떻게 치료하나요? 항생제, 항바이러스제, 휴식 등



폐렴 치료는 원인균에 따라 달라집니다. 세균성 폐렴은 항생제, 바이러스성 폐렴은 항바이러스제를 투여하며, 곰팡이성 폐렴은 항진균제를 투여합니다.
폐렴 치료 방법:
*약물 치료: 항생제, 항바이러스제, 항진균제, 해열제, 진통제 등
- 산소 치료: 호흡곤란이 심한 경우 산소 치료를 시행합니다.
- 수액 치료: 탈수 증상이 있는 경우 수액 치료를 시행합니다.
- 흉부 물리 치료: 가래 배출을 돕는 흉부 물리 치료를 시행합니다.
- 입원 치료: 증상이 심하거나 합병증 발생 위험이 높은 경우 입원 치료를 합니다.
폐렴 치료 시 주의사항:
- 처방된 약 복용: 의사의 처방에 따라 약을 꾸준히 복용해야 합니다.
- 충분한 휴식: 몸을 따뜻하게 하고 충분한 휴식을 취해야 합니다.
- 수분 섭취: 충분한 수분 섭취는 가래 배출을 돕고 탈수를 예방합니다.
- 금연: 흡연은 폐렴 증상을 악화시키므로 반드시 금연해야 합니다.
폐렴, 예방할 수 있을까요? 예방접종과 생활 습관 개선
폐렴은 예방접종과 건강한 생활 습관을 통해 예방할 수 있습니다.
폐렴 예방접종:
- 폐렴구균 백신: 폐렴구균 감염으로 인한 폐렴을 예방합니다. 65세 이상 성인, 만성 질환자, 면역 저하자 등에게 권장됩니다.
- 인플루엔자 백신: 인플루엔자 바이러스 감염으로 인한 폐렴을 예방합니다. 매년 접종하는 것이 좋습니다.
폐렴 예방 생활 습관:
- 손 씻기: 외출 후, 식사 전후, 화장실 사용 후 등 손을 자주 씻어 감염 예방에 힘씁니다.
- 기침 예절: 기침이나 재채기를 할 때는 옷소매로 입과 코를 가리고, 마스크를 착용합니다.
- 면역력 강화: 규칙적인 운동, 균형 잡힌 식단, 충분한 수면, 스트레스 관리 등을 통해 면역력을 강화합니다.
- 금연: 흡연은 폐 기능을 저하시키고 면역력을 약화시켜 폐렴에 취약하게 만듭니다.
- 만성 질환 관리: 당뇨병, 심혈관 질환 등 만성 질환을 잘 관리하면 폐렴 발생 위험을 낮출 수 있습니다.
폐렴은 흔한 질병이지만, 방치하면 심각한 합병증을 유발할 수 있습니다. 조기에 발견하고 적절한 치료를 받으면 완치 가능성이 높으므로, 의심 증상이 있다면 망설이지 말고 병원을 방문하여 진료받으시길 바랍니다.