장폐색 장유착 원인 증상 치료방법 예방법
- 카테고리 없음
- 2024. 6. 25. 07:00
장폐색 & 장유착, 뱃속의 꼬임과 끈적임! 2024년 최신 정보로 알아보는 원인, 증상, 치료, 예방법
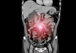
[Image of 장폐색 장유착 증상]
갑작스러운 복통, 구토, 변비... 혹시 장이 꼬이거나 막힌 건 아닐까요? 장폐색과 장유착은 장의 기능을 방해하고 심각한 합병증을 유발할 수 있는 질환입니다. 특히 수술 경험이 있는 분들은 장유착 발생 위험이 높아 더욱 주의해야 합니다. 이 글에서는 장폐색과 장유착의 원인, 증상, 진단, 치료, 예방법까지 상세히 알려드립니다. 정확한 정보를 통해 조기 발견과 적절한 치료로 건강한 장을 지키세요!
1. 장폐색, 왜 발생하나요? 막힌 장, 그 원인과 종류



장폐색은 소장이나 대장이 부분적으로 또는 완전히 막혀 음식물, 가스, 액체 등이 통과하지 못하는 상태를 말합니다. 장폐색은 갑작스러운 복통, 구토, 변비 등 다양한 증상을 유발하며, 방치하면 장 천공, 복막염 등 생명을 위협하는 합병증으로 이어질 수 있습니다.
장폐색 원인:
- 장유착: 수술 후 발생하는 흉터 조직 (유착)이 장을 눌러 막히는 경우입니다. 가장 흔한 장폐색 원인입니다.
- 종양: 장 내부 또는 외부에서 발생한 종양이 장을 압박하거나 막는 경우입니다.
- 염증성 장 질환: 크론병, 궤양성 대장염 등 염증성 장 질환으로 인해 장이 좁아지거나 막히는 경우입니다.
- 탈장: 장의 일부가 복벽 밖으로 빠져나와 막히는 경우입니다.
- 장 꼬임: 장이 비정상적으로 꼬여 막히는 경우입니다.
- 변비: 심한 변비로 인해 대변이 장을 막는 경우입니다.
장폐색 종류:
- 기계적 장폐색: 물리적인 원인으로 장이 막히는 경우입니다. (장유착, 종양, 탈장 등)
- 기능적 장폐색: 장 운동 기능 저하로 인해 장이 막히는 경우입니다. (마비성 장폐색 등)
2. 장유착, 뱃속의 끈적임! 수술 후 발생하는 흔한 합병증



장유착은 수술 후 복강 내 장기들이 서로 들러붙어 띠 모양의 흉터 조직 (유착)이 형성되는 현상입니다. 장유착은 복강 수술 후 흔하게 발생하며, 대부분 특별한 증상을 일으키지 않습니다. 하지만 유착이 심해져 장을 압박하거나 꼬이게 만들면 장폐색을 유발할 수 있습니다.
장유착 위험 요인:
- 개복 수술: 개복 수술은 복강 내 조직 손상이 크기 때문에 장유착 발생 위험이 높습니다.
- 복강 내 감염: 복막염 등 복강 내 감염은 장유착 발생 위험을 높입니다.
- 복강 내 출혈: 복강 내 출혈은 혈액 응고 과정에서 유착을 유발할 수 있습니다.
- 복강 내 이물질: 수술 도구, 봉합사 등 복강 내 이물질은 유착 발생의 원인이 될 수 있습니다.
3. 장폐색 & 장유착, 어떤 증상이 나타나나요? 갑작스러운 복통과 구토



장폐색과 장유착은 비슷한 증상을 보이며, 갑작스러운 복통과 구토가 가장 흔한 증상입니다.
장폐색 & 장유착 증상:
- 복통: 쥐어짜는 듯한 심한 복통이 갑자기 발생합니다. 통증은 주기적으로 나타나거나 지속될 수 있으며, 복부 팽만감을 동반할 수 있습니다.
- 구토: 장 내용물이 역류하여 구토가 발생합니다.
- 변비: 대변이나 가스 배출이 어려워 변비가 생깁니다.
- 복부 팽만: 장 내 가스가 차서 복부가 팽창하고 딱딱하게 느껴집니다.
- 탈수: 구토와 설사로 인해 탈수 증상이 나타날 수 있습니다.
- 쇼크: 심한 경우 혈압 저하, 빈맥, 식은땀 등 쇼크 증상이 나타날 수 있습니다.
4. 장폐색 & 장유착, 어떻게 진단하나요? 영상 검사와 혈액 검사



장폐색과 장유착은 환자의 증상, 병력, 신체 검사 결과를 종합적으로 고려하여 진단합니다. 복부 X-ray, CT, MRI 등 영상 검사를 통해 장 폐쇄 부위와 원인을 확인하고, 혈액 검사를 통해 염증 수치, 전해질 불균형 등을 확인합니다.
장폐색 & 장유착 진단 검사:
- 복부 X-ray: 장 내 가스 분포를 확인하여 장 폐쇄 여부를 진단합니다.
- CT (컴퓨터 단층촬영): 장 폐쇄 부위와 원인을 더욱 정확하게 확인할 수 있습니다.
- MRI (자기공명영상): CT보다 연부 조직을 더욱 자세히 볼 수 있어 장유착 진단에 유용합니다.
- 혈액 검사: 염증 수치 (백혈구 수치, CRP 등), 전해질 불균형 등을 확인합니다.
5. 장폐색 & 장유착, 어떻게 치료하나요? 비수술적 치료와 수술적 치료



장폐색과 장유착 치료는 원인과 증상 심각성에 따라 달라집니다. 초기에는 금식, 수액 공급, 비위관 삽입 등 비수술적 치료를 시행하며, 증상이 호전되지 않거나 합병증이 의심되는 경우 수술적 치료를 고려합니다.
비수술적 치료:
- 금식: 장 운동을 쉬게 하고 염증을 완화합니다.
- 수액 공급: 탈수를 교정하고 전해질 불균형을 해소합니다.
- 비위관 삽입: 장 내 가스와 액체를 제거하여 복부 팽만감을 완화하고 장 운동을 촉진합니다.
- 약물 치료: 항생제, 진통제, 구토 억제제 등을 투여하여 증상을 완화합니다.
수술적 치료:
- 유착 박리술: 유착된 장을 분리하는 수술입니다.
- 장 절제술: 괴사된 장을 제거하는 수술입니다.
- 장 우회술: 막힌 장 부위를 우회하여 음식물 통과를 가능하게 하는 수술입니다.
6. 장폐색 & 장유착, 예방할 수 있을까요? 수술 후 관리와 생활 습관 개선
장폐색과 장유착은 완벽하게 예방할 수는 없지만, 수술 후 관리와 생활 습관 개선을 통해 발생 위험을 낮출 수 있습니다.
장폐색 & 장유착 예방법:
- 수술 후 조기 활동: 수술 후 조기에 움직이면 장 유착 발생 위험을 줄일 수 있습니다.
- 금연: 흡연은 혈액 순환을 방해하고 염증을 유발하여 장유착 위험을 높입니다.
- 균형 잡힌 식단: 섬유질이 풍부한 음식을 섭취하고 변비를 예방하는 것이 중요합니다.
- 적절한 수분 섭취: 충분한 수분 섭취는 변비 예방에 도움이 됩니다.
- 규칙적인 배변 습관: 규칙적인 배변 습관을 유지하고 변비를 예방해야 합니다.
- 복부 마사지: 복부 마사지는 장 운동을 촉진하고 장 유착을 예방하는 데 도움이 될 수 있습니다.
7. 장폐색, 응급 상황 발생 시 대처 방법은? 골든타임 사수하기
장폐색은 응급 상황으로 이어질 수 있으므로, 의심 증상이 나타나면 즉시 병원을 방문해야 합니다. 특히 다음과 같은 증상이 나타나면 지체 없이 응급실을 찾아야 합니다.
장폐색 응급 상황 신호:
- 심한 복통: 참을 수 없는 극심한 복통이 지속되거나 악화될 경우
- 지속적인 구토: 특히 녹색 또는 갈색의 내용물을 토하거나 혈액이 섞여 나오는 경우
- 복부 팽만: 복부가 심하게 팽창하고 딱딱하게 느껴질 경우
- 발열, 오한: 38도 이상의 고열이나 오한이 동반될 경우
- 혈변: 대변에 피가 섞여 나오는 경우
- 탈수 증상: 심한 갈증, 어지럼증, 소변량 감소 등 탈수 증상이 나타날 경우
응급실 방문 전 준비 사항:
- 증상 발생 시점, 양상, 강도 등 상세히 기록: 의료진에게 정확한 정보를 제공해야 합니다.
- 복용 중인 약물 정보: 복용 중인 약물 정보를 의료진에게 알려야 합니다.
- 최근 수술 이력: 최근 수술 이력이 있는 경우 의료진에게 알려야 합니다.
8. 장폐색 & 장유착, 궁금증 해결! Q&A
Q: 장폐색은 완치될 수 있나요?
A: 장폐색은 원인과 치료 시기에 따라 완치 가능성이 달라집니다. 조기에 발견하고 적절한 치료를 받으면 완치될 수 있지만, 방치할 경우 합병증으로 인해 장기간 치료가 필요하거나 심각한 경우 사망에 이를 수 있습니다.
Q: 장유착은 예방할 수 있나요?
A: 장유착은 수술 후 발생하는 흔한 합병증으로 완벽하게 예방할 수는 없습니다. 하지만 수술 후 조기 활동, 금연, 균형 잡힌 식단, 적절한 수분 섭취 등을 통해 발생 위험을 낮출 수 있습니다.
Q: 장폐색 수술 후에도 재발할 수 있나요?
A: 네, 장폐색 수술 후에도 장유착 등으로 인해 재발할 수 있습니다. 따라서 수술 후에도 꾸준한 관리와 정기 검진이 필요합니다.
9. 장폐색 & 장유착, 최신 치료 동향은? 로봇 수술, 약물 치료 발전
장폐색 및 장유착 치료는 지속적으로 발전하고 있으며, 로봇 수술, 새로운 약물 치료 등 최신 치료법들이 연구되고 있습니다.
장폐색 & 장유착 최신 치료 동향:
- 로봇 수술: 로봇 수술은 정밀하고 안전한 수술이 가능하며, 회복 기간이 짧고 합병증 발생률이 낮다는 장점이 있습니다.
- 새로운 약물 치료: 염증을 억제하고 장 운동을 촉진하는 새로운 약물들이 개발되고 있습니다.
- 흡수성 유착 방지제: 수술 후 유착 발생을 예방하는 흡수성 유착 방지제가 개발되어 사용되고 있습니다.