뇌출혈 전조증상 및 치료방법 알아보기
- 카테고리 없음
- 2024. 5. 2. 12:21
뇌출혈은 뇌 내부의 혈관이 파열되어 혈액이 뇌 조직으로 유출되는 상태를 말합니다. 이는 갑작스러운 두통, 언어 장애, 시력 문제, 신체 일부의 마비 또는 감각 이상과 같은 전조 증상을 동반할 수 있습니다. 뇌출혈의 위험성을 인지하고 적절한 조치를 취하는 것은 중요한데, 이는 뇌 기능에 영구적인 손상을 줄 수 있기 때문입니다. 치료 방법은 뇌출혈의 원인, 위치, 크기에 따라 달라지며, 긴급한 수술이 필요한 경우도 있습니다. 이 서론에서는 뇌출혈의 전조 증상을 인식하는 방법과 가능한 치료 옵션에 대해 자세히 살펴보겠습니다. 이를 통해 독자들이 뇌출혈의 심각성을 이해하고, 필요한 경우 즉시 의학적 도움을 받을 수 있도록 정보를 제공하고자 합니다. 오늘은 뇌출혈의 전조증상 및 치료방법에 대해 알아보겠습니다.



뇌출혈 전조증상 및 치료방법
뇌출혈은 뇌 내부의 혈관이 파열되어 혈액이 뇌 조직으로 유출되는 상태를 말합니다. 이는 뇌 기능에 심각한 손상을 줄 수 있는 응급 상황으로, 즉각적인 치료가 필요합니다. 전조 증상으로는 갑작스러운 두통, 언어 장애, 시력 문제, 혼란, 마비 또는 감각 이상 등이 있을 수 있으며, 이러한 증상들은 뇌출혈 발생 전에 나타날 수 있습니다. 치료 방법은 뇌출혈의 원인, 위치, 크기에 따라 달라지며, 일반적으로 수술적 치료와 약물 치료가 병행됩니다. 조기 진단과 적절한 치료가 이루어질 때 예후가 향상될 수 있으므로, 전조 증상을 인지하고 신속히 전문 의료진의 도움을 받는 것이 중요합니다.
뇌출혈 원인






뇌출혈, 즉 뇌내 출혈은 뇌 조직 내부에서 발생하는 출혈을 말합니다. 이는 뇌혈관이 파열되어 주변 뇌 조직에 혈액이 새는 상황을 의미하는데, 이로 인해 뇌 조직이 손상되거나 기능이 저하될 수 있습니다. 뇌출혈의 원인은 다양하지만, 주요 원인으로는 고혈압, 뇌동맥류, 혈관 기형, 머리 부상, 혈액 질환, 약물 남용 등이 있습니다.
고혈압은 뇌출혈의 가장 흔한 원인 중 하나로, 지속적인 고혈압은 뇌혈관에 지속적인 압력을 가하여 혈관 벽이 약해지고 결국 파열될 수 있습니다. 뇌동맥류는 혈관 벽의 약한 부분이 부풀어 오르는 것으로, 이 부위가 파열되면 뇌출혈이 발생할 수 있습니다. 혈관 기형은 뇌혈관이 비정상적으로 연결되어 있는 상태로, 이 역시 출혈의 위험을 증가시킵니다.
머리 부상은 외부 충격으로 인해 뇌혈관이 손상되어 출혈을 일으킬 수 있으며, 혈액 질환은 혈액이 제대로 응고되지 않아 작은 충격에도 출혈이 쉽게 발생할 수 있습니다. 약물 남용, 특히 항응고제나 아스피린과 같은 혈액 희석제의 과다 복용은 출혈 위험을 높일 수 있습니다.
뇌출혈은 심각한 상태이며, 즉각적인 의료 조치가 필요합니다. 예방을 위해서는 건강한 생활 습관을 유지하고, 정기적인 건강 검진을 통해 위험 요소를 조기에 발견하고 관리하는 것이 중요합니다. 뇌출혈의 위험을 줄이기 위해 고혈압 관리, 금연, 적절한 체중 유지, 규칙적인 운동, 건강한 식습관 등이 권장됩니다. 뇌출혈이 발생했을 경우, 빠른 진단과 치료가 회복에 큰 영향을 미칠 수 있으니, 의심 증상이 있을 때는 즉시 의료 기관을 방문해야 합니다.
뇌출혈 증상






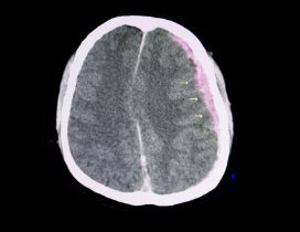
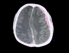
뇌출혈은 뇌 내부의 혈관이 파열되어 혈액이 뇌 조직으로 유출되는 상태를 말합니다. 이는 뇌 기능에 심각한 영향을 미칠 수 있는 의료적 긴급 상황입니다. 뇌출혈의 증상은 다양하며, 초기에는 경미할 수 있지만, 상태가 악화될 경우 생명을 위협할 수 있습니다.
뇌출혈의 초기 증상으로는 갑작스러운 심한 두통, 어지럼증, 구토, 의식 저하, 한쪽 팔다리의 힘이 빠지거나 마비되는 증상, 언어 및 발음 장애, 시각 장애 등이 있습니다. 특히, 한쪽 팔이나 다리에 감각이 둔해지거나 힘이 빠지는 증상은 뇌출혈의 중요한 신호로 여겨집니다. 또한, 얼굴의 한쪽이 마비되어 입이 돌아가는 안면 마비 증상이 나타날 수 있습니다.
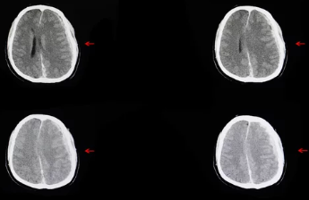
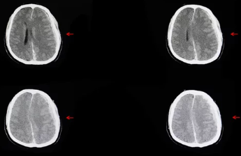
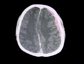
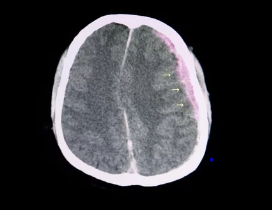
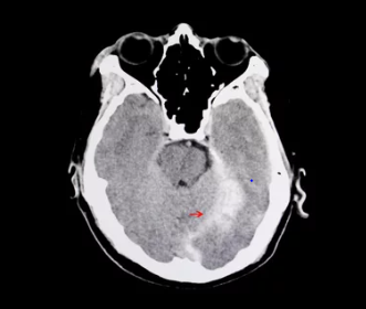
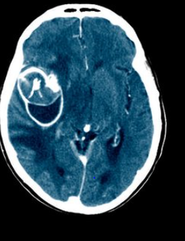
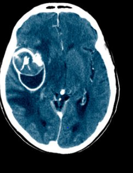
뇌출혈이 의심되는 경우, 즉시 의료 기관을 방문하여 정밀 진단을 받는 것이 중요합니다. 컴퓨터 단층촬영(CT)이나 자기공명영상(MRI) 검사를 통해 뇌 내부의 출혈 여부를 확인할 수 있으며, 필요한 경우 적절한 치료를 받을 수 있습니다.
뇌출혈의 예방을 위해서는 고혈압, 당뇨병, 고지혈증과 같은 기저 질환의 관리가 필수적입니다. 규칙적인 운동, 건강한 식습관, 스트레스 관리, 금연 및 금주 등이 뇌출혈 예방에 도움이 됩니다. 또한, 정기적인 건강 검진을 통해 뇌혈관 상태를 확인하고, 필요한 경우 전문의와 상담하는 것이 좋습니다.
뇌출혈은 적절한 치료와 관리를 통해 회복이 가능한 경우도 있지만, 심각한 경우에는 장기적인 재활 치료가 필요할 수 있습니다. 따라서 뇌출혈의 증상을 조기에 인지하고, 신속하게 대응하는 것이 매우 중요합니다. 뇌출혈에 대한 보다 자세한 정보는 전문 의료 기관을 통해 상담받을 수 있습니다.
뇌출혈에 좋은 음식






뇌출혈은 뇌 안에서 혈관이 터져서 발생하는 심각한 상태입니다. 이를 예방하고 회복하는 데 도움이 되는 음식에 대한 정보는 많은 사람들에게 중요할 수 있습니다. 여기에는 몇 가지 일반적인 권장 사항이 있습니다:
1. 오메가-3 지방산: 연어, 참치와 같은 지방이 많은 생선과 아마씨, 호두와 같은 식물성 식품에 풍부합니다. 오메가-3는 혈액 순환을 개선하고 염증을 줄이는 데 도움이 됩니다.
2. 과일과 채소: 비타민과 미네랄이 풍부하며, 항산화제가 많이 함유되어 있어 혈관 건강을 지원합니다. 특히 녹색 잎채소와 베리류가 좋습니다.
3. 전곡식: 혈액의 흐름을 돕고 콜레스테롤 수치를 낮추는 데 도움이 되는 섬유질이 풍부합니다.
4. 견과류와 씨앗: 마그네슘과 기타 영양소가 혈액의 압력을 조절하는 데 도움이 됩니다.
5. 적당한 양의 카페인: 카페인이 함유된 음료는 적당히 섭취할 경우 혈관 건강에 긍정적인 영향을 줄 수 있습니다.
이러한 음식들은 뇌출혈을 예방하고, 이미 뇌출혈을 경험한 사람들의 회복을 돕는 데 유용할 수 있습니다. 하지만, 개인의 건강 상태와 필요에 따라 의사나 영양사와 상담하는 것이 중요합니다. 이러한 음식들을 식단에 포함시키기 전에 전문가의 조언을 구하는 것이 가장 좋습니다. 건강한 식습관은 뇌출혈뿐만 아니라 다양한 건강 문제를 예방하는 데 중요한 역할을 합니다.
뇌출혈에 좋은 운동






뇌출혈을 겪은 후에는 신체적, 정신적 회복이 매우 중요합니다. 운동은 이러한 회복 과정에서 중요한 역할을 할 수 있으며, 특히 뇌의 기능을 회복하고 전반적인 건강을 증진시키는 데 도움을 줄 수 있습니다. 여기에는 몇 가지 뇌출혈 후 좋은 운동에 대한 정보를 공유합니다.
1. 물리치료: 물리치료사의 지도 하에 진행하는 물리치료는 근력을 회복하고, 균형 감각을 향상시키며, 일상 생활 활동을 수행하는 능력을 개선할 수 있습니다.
2. 걷기: 안전한 환경에서 걷기 운동을 하는 것은 심혈관 건강을 증진시키고, 근육을 강화하며, 뇌로의 혈류를 개선할 수 있습니다.
3. 스트레칭: 부드러운 스트레칭은 근육의 긴장을 완화하고, 유연성을 증진시키며, 관절의 움직임 범위를 넓힐 수 있습니다.
4. 균형 운동: 균형을 잡는 운동은 뇌의 균형을 담당하는 부분을 자극하고, 낙상 위험을 줄이는 데 도움이 됩니다.
5. 수영: 수영은 전신 운동으로, 관절에 부담을 주지 않으면서도 근육을 강화하고, 체력을 향상시킬 수 있습니다.
운동 프로그램을 시작하기 전에는 의사나 전문가와 상의하여 개인의 상태에 맞는 운동 계획을 세우는 것이 중요합니다. 뇌출혈 후에는 몸의 신호를 잘 듣고, 과도한 피로나 부담을 피하면서 천천히 운동 강도를 높여가는 것이 좋습니다.
이러한 운동들은 뇌출혈 후 회복을 돕고, 재활을 촉진하는 데 유익할 수 있습니다. 항상 안전을 최우선으로 하고, 전문가의 지도를 받으며 운동을 진행해야 합니다. 건강한 회복을 위한 여정에서 운동이 긍정적인 역할을 할 수 있기를 바랍니다.
뇌출혈에 좋은 생활습관






뇌출혈은 뇌 안의 혈관이 터지면서 발생하는 심각한 상태입니다. 이를 예방하기 위해서는 일상 생활에서 건강한 습관을 유지하는 것이 중요합니다. 여기 몇 가지 좋은 생활 습관을 소개합니다:
1. 균형 잡힌 식단: 과일, 채소, 전곡류, 저지방 단백질을 포함한 다양하고 균형 잡힌 식단을 유지하세요.
2. 규칙적인 운동: 주 5일, 하루에 최소 30분간의 중등도 신체 활동이 뇌 건강에 도움이 됩니다.
3. 금연: 흡연은 뇌출혈의 위험을 증가시키므로 금연은 매우 중요합니다.
4. 적정 체중 유지: 과체중과 비만은 고혈압과 같은 뇌출혈 위험 요소를 증가시킵니다.
5. 스트레스 관리: 지속적인 스트레스는 혈압을 상승시킬 수 있으므로, 스트레스를 관리하는 것이 중요합니다.
6. 정기적인 건강 검진: 혈압, 콜레스테롤 수치 등을 정기적으로 체크하여 건강을 관리하세요.
이러한 생활 습관은 뇌출혈뿐만 아니라 다른 많은 건강 문제를 예방하는 데에도 도움이 됩니다. 건강한 생활 습관을 통해 뇌 건강을 지키세요.