폐농양 증상 치료방법 알아보기
- 카테고리 없음
- 2024. 8. 23. 03:00
폐농양, 놓치면 위험한 신호! 🫁 증상부터 예방까지 완벽 가이드
폐농양은 폐 조직에 고름이 차 있는 상태를 말하며, 방치하면 생명을 위협할 수 있는 심각한 질환입니다. 폐렴 등 호흡기 질환을 제때 치료하지 않거나 면역력이 약해졌을 때 발생하기 쉬운데요, 초기 증상이 감기와 비슷해 쉽게 지나치는 경우가 많습니다.
폐농양은 폐 조직 내에 염증이 발생하고, 이 염증 부위가 괴사하면서 고름이 차는 질환입니다. 이 고름은 폐 기능을 저하시키고 주변 조직으로 퍼져나가 심각한 합병증을 유발할 수 있습니다. 따라서 폐농양은 조기 발견과 치료가 매우 중요하며, 의심 증상이 나타나면 즉시 병원을 찾아 정확한 진단과 치료를 받아야 합니다.
오늘은 폐농양의 다양한 증상과 함께 원인, 치료법, 그리고 예방법까지 자세히 알아보겠습니다.
1. 기침, 가래, 호흡 곤란 - 폐농양의 초기 신호



폐농양의 가장 흔한 초기 증상은 기침, 가래, 호흡 곤란입니다. 이러한 증상들은 감기나 기관지염과 비슷하여 많은 사람들이 대수롭지 않게 여기고 넘어가는 경우가 많습니다. 하지만 폐농양은 고름이 폐 조직을 파괴하면서 호흡 기능을 저하시키기 때문에 방치하면 위험합니다. 특히, 가래에 피가 섞여 나오거나 악취가 나는 경우 폐농양을 강력하게 의심해 볼 필요가 있습니다.
- 기침: 폐농양 환자들은 잦은 기침을 호소하며, 특히 밤에 기침이 심해지는 경우가 많습니다. 이는 폐농양 부위에 고름이 차면서 기관지를 자극하기 때문입니다. 기침은 폐농양의 가장 초기 증상 중 하나이며, 기침이 2주 이상 지속되거나 악화되는 경우 반드시 병원을 찾아야 합니다.
- 가래: 폐농양으로 인해 끈적하고 누런 가래가 많이 생성되며, 심한 경우 피가 섞여 나올 수 있습니다. 가래에서 악취가 나는 경우도 폐농양의 특징적인 증상입니다. 이는 폐농양 부위에 혐기성 세균이 번식하면서 발생하는 현상입니다.
- 호흡 곤란: 폐농양이 진행되면 숨쉬기가 어려워지고 가슴 답답함을 느낄 수 있습니다. 특히, 운동이나 활동 시 호흡 곤란이 심해지는 경우가 많습니다. 이는 폐 기능이 저하되면서 혈액 내 산소 공급이 부족해지기 때문입니다.
2. 발열, 오한, 식은땀 - 몸이 보내는 SOS



폐농양은 염증 반응을 동반하기 때문에 발열, 오한, 식은땀 등의 증상이 나타날 수 있습니다.
- 발열: 폐농양 환자들은 38도 이상의 고열이 발생할 수 있으며, 특히 밤에 열이 더 오르는 경우가 많습니다. 이는 몸이 폐농양과 싸우기 위해 면역 체계를 활성화하면서 나타나는 자연스러운 현상입니다.
- 오한: 발열과 함께 몸이 춥고 떨리는 오한 증상이 나타날 수 있습니다. 오한은 체온 조절 중추가 혼란을 겪으면서 발생하는 증상으로, 발열과 함께 나타나는 경우가 많습니다.
- 식은땀: 밤에 잠을 자는 동안 식은땀을 많이 흘리는 경우도 폐농양의 증상일 수 있습니다. 이는 몸이 염증과 싸우면서 체온 조절에 어려움을 겪기 때문입니다.
3. 가슴 통증, 피로감, 식욕 부진 - 일상생활을 위협하는 증상들



폐농양은 폐 조직 손상과 염증으로 인해 가슴 통증, 피로감, 식욕 부진 등의 증상을 유발할 수 있습니다. 이러한 증상들은 폐농양 환자들의 삶의 질을 크게 저하시키고 일상생활에 지장을 줄 수 있습니다.
- 가슴 통증: 폐농양이 흉막을 자극하면 가슴 통증이 발생할 수 있으며, 기침이나 심호흡 시 통증이 심해지는 경우가 많습니다. 흉막은 폐를 둘러싸고 있는 얇은 막으로, 염증이 발생하면 통증을 느끼게 됩니다.
- 피로감: 폐농양 환자들은 쉽게 피로감을 느끼고 무기력해질 수 있습니다. 이는 몸이 염증과 싸우는 데 에너지를 소모하고 폐 기능이 저하되어 혈액 내 산소 공급이 부족해지기 때문입니다.
- 식욕 부진: 염증으로 인해 식욕이 떨어지고 체중 감소가 나타날 수 있습니다. 염증은 식욕을 조절하는 호르몬 균형을 깨뜨리고 소화 기능을 저하시켜 식욕 부진을 유발할 수 있습니다.
4. 객혈, 청색증 - 응급 상황을 알리는 적신호



객혈(피 섞인 가래)이나 청색증(피부나 점막이 푸르게 변하는 증상)은 폐농양의 심각한 합병증을 의미하며, 즉시 병원을 찾아 응급 치료를 받아야 합니다.
- 객혈: 폐농양으로 인해 혈관이 손상되면 가래에 피가 섞여 나올 수 있습니다. 객혈은 폐출혈의 가능성을 시사하며, 생명을 위협할 수 있는 응급 상황입니다. 객혈량이 많거나 멈추지 않는 경우 즉시 응급실을 찾아야 합니다.
- 청색증: 폐 기능 저하로 혈액 내 산소 농도가 떨어지면 피부나 점막이 푸르게 변하는 청색증이 나타날 수 있습니다. 청색증은 호흡 곤란과 함께 나타나는 경우가 많으며, 즉시 의료 처치가 필요합니다. 청색증은 혈액 내 산소 부족을 나타내는 심각한 증상으로, 방치하면 저산소증으로 인한 뇌 손상, 심장 마비 등 생명을 위협하는 합병증을 유발할 수 있습니다.
5. 폐농양의 원인, 다양한 질환과 습관이 문제



폐농양은 다양한 원인에 의해 발생할 수 있습니다. 가장 흔한 원인은 흡인성 폐렴과 세균성 폐렴입니다.
- 흡인성 폐렴: 구강 내 세균이나 음식물 등이 폐로 흡인되어 발생하는 폐렴입니다. 의식 저하, 연하 곤란, 구강 위생 불량, 알코올 중독, 뇌졸중 등이 흡인성 폐렴의 위험 요인입니다. 흡인된 이물질은 폐에 염증을 유발하고, 이 염증이 폐농양으로 발전할 수 있습니다.
- 세균성 폐렴: 세균 감염으로 인해 발생하는 폐렴입니다. 면역력 저하, 만성 질환, 흡연, 대기 오염 등이 세균성 폐렴의 위험 요인입니다. 세균성 폐렴은 폐 조직에 염증을 유발하고, 염증이 심해지면 폐농양으로 발전할 수 있습니다.
- 무기폐: 폐의 일부분이 막혀 공기가 통하지 않는 상태입니다. 종양, 이물질 흡인, 흉부 수술, 폐렴 등이 무기폐의 원인이 될 수 있습니다. 무기폐 부위는 세균 감염에 취약하며, 폐농양으로 발전할 수 있습니다.
- 면역력 저하: 암, HIV 감염, 장기 이식 등으로 면역력이 저하된 경우 폐농양 발생 위험이 높아집니다. 면역 체계는 세균 감염을 막는 중요한 역할을 하는데, 면역력이 저하되면 폐렴 등 호흡기 감염에 취약해지고, 이는 폐농양으로 이어질 수 있습니다.
이 외에도 폐암, 폐결핵, 낭성 섬유증 등 다른 폐 질환이나 외상, 흉부 수술 등도 폐농양의 원인이 될 수 있습니다. 따라서 잦은 기침, 가래, 호흡 곤란 등 호흡기 증상이 나타나면 병원을 찾아 정확한 원인을 파악하고 적절한 치료를 받는 것이 중요합니다.
6. 폐농양, 조기 발견과 치료가 중요!
폐농양은 조기 발견과 치료가 중요합니다. 방치하면 패혈증, 농흉, 뇌농양 등 심각한 합병증으로 이어질 수 있습니다.
- 패혈증: 혈액 내 세균이 퍼져 전신에 염증 반응을 일으키는 심각한 상태입니다. 패혈증은 장기 부전, 쇼크 등을 유발하여 생명을 위협할 수 있습니다.
- 농흉: 흉막강 내에 고름이 차는 질환입니다. 흉통, 호흡 곤란, 발열 등의 증상을 유발하며, 흉관 삽입술이나 수술적 치료가 필요할 수 있습니다.
- 뇌농양: 뇌 조직 내에 고름이 차는 질환입니다. 두통, 발열, 의식 저하, 경련 등의 증상을 유발하며, 항생제 치료나 수술적 치료가 필요합니다.
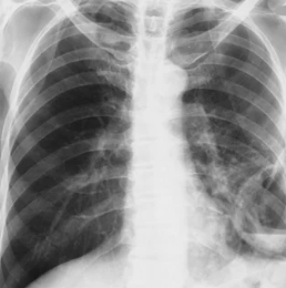
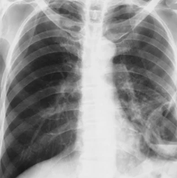
폐농양의 진단은 흉부 X-ray, CT, 객담 검사 등을 통해 이루어집니다. 흉부 X-ray나 CT를 통해 폐농양의 위치와 크기를 확인하고, 객담 검사를 통해 원인균을 파악하여 적절한 항생제를 선택할 수 있습니다.
폐농양의 치료는 항생제 치료가 주된 치료법입니다. 원인균에 따라 적절한 항생제를 선택하여 투여하며, 증상에 따라 객담 배출을 돕는 약물이나 수술적 치료를 시행할 수도 있습니다.
- 항생제 치료: 경구 항생제 또는 정맥 주사 항생제를 사용하여 폐농양의 원인균을 제거합니다. 항생제 치료 기간은 폐농양의 크기와 심각도, 환자의 상태 등에 따라 달라질 수 있으며, 일반적으로 수주에서 수개월까지 소요될 수 있습니다.
- 객담 배출 촉진: 체위 배출법, 흉부 물리 치료 등을 통해 객담 배출을 돕고 폐 기능을 개선할 수 있습니다.
- 수술적 치료: 폐농양이 크거나 항생제 치료에 반응하지 않는 경우, 농양 배액술이나 폐엽 절제술 등 수술적 치료를 시행할 수 있습니다.
폐농양 예방을 위한 생활 습관
- 구강 위생 철저히 관리: 흡인성 폐렴 예방을 위해 양치질, 치실 사용, 구강 세정제 사용 등 구강 위생을 철저히 관리해야 합니다. 특히, 의식 저하나 연하 곤란이 있는 환자는 구강 관리에 더욱 신경 써야 합니다.
- 금연: 흡연은 폐 기능을 저하시키고 면역력을 약화시켜 폐렴 및 폐농양 발생 위험을 높입니다. 금연은 폐 건강을 지키는 가장 중요한 방법 중 하나입니다.
- 적절한 운동과 균형 잡힌 식사: 규칙적인 운동과 균형 잡힌 식사는 면역력을 강화하고 폐 건강을 유지하는 데 도움이 됩니다.
- 감염 예방: 손 씻기, 마스크 착용 등 개인 위생 수칙을 준수하여 감염을 예방해야 합니다. 특히, 독감이나 폐렴 예방 접종을 통해 호흡기 감염을 예방하는 것이 중요합니다.
- 만성 질환 관리: 당뇨병, 심혈관 질환 등 만성 질환은 면역력을 저하시키고 폐렴 및 폐농양 발생 위험을 높일 수 있습니다. 만성 질환을 잘 관리하여 합병증을 예방하는 것이 중요합니다.
- 정기적인 건강 검진: 정기적인 건강 검진을 통해 폐 건강을 확인하고 이상 증상을 조기에 발견하는 것이 중요합니다.
결론:
폐농양은 심각한 합병증을 유발할 수 있는 위험한 질환이지만, 조기 발견과 치료를 통해 완치 가능성을 높일 수 있습니다. 잦은 기침, 가래, 호흡 곤란, 발열, 오한, 가슴 통증 등 폐농양 의심 증상이 나타나면 즉시 병원을 찾아 정확한 진단과 치료를 받는 것이 중요합니다. 또한, 건강한 생활 습관을 유지하고 정기적인 건강 검진을 통해 폐농양을 예방하고 건강한 폐를 유지하시길 바랍니다.
SEO 검색 엔진 최적화를 위한 추가 정보
- 키워드: 폐농양, 폐농양 증상, 폐농양 원인, 폐농양 치료, 폐농양 예방, 흡인성 폐렴, 세균성 폐렴, 무기폐, 면역력 저하, 객혈, 청색증, 패혈증, 농흉, 뇌농양
- 메타 설명: 폐농양은 놓치면 위험한 신호! 폐농양의 증상, 원인, 치료법, 예방법까지 자세히 알아보고 건강한 폐를 지키세요.
- 이미지 alt 태그: 폐농양 이미지, 폐렴 이미지, 기침하는 사람, 가래 이미지, 호흡 곤란 이미지, 발열 이미지, 오한 이미지, 가슴 통증 이미지, 객혈 이미지, 청색증 이미지
- 내부 링크: 폐렴 관련 정보, 면역력 강화 방법, 금연 방법, 건강 검진 정보 등 관련 블로그 글
- 외부 링크: 대한결핵 및 호흡기학회 웹사이트, 질병관리청 웹사이트, 병원 정보 등