척추측만증 교정운동 및 치료방법 알아보기
- 카테고리 없음
- 2024. 5. 9. 22:37
척추측만증은 척추가 옆으로 휘어지는 질환으로, 많은 사람들이 겪는 건강 문제 중 하나입니다. 이 질환은 특히 성장기 아동과 청소년에게서 자주 발견되며, 조기 발견과 적절한 치료가 중요합니다. 척추측만증의 교정 운동과 치료 방법은 환자의 상태와 질환의 정도에 따라 달라질 수 있으며, 전문가의 지도 하에 실시하는 것이 가장 바람직합니다. 이 글에서는 척추측만증의 기본적인 이해를 돕고, 일반적으로 권장되는 교정 운동 및 치료 방법에 대해 소개하고자 합니다. 척추 건강을 위한 첫걸음으로, 올바른 자세를 유지하는 것의 중요성과 함께, 일상생활 속에서 쉽게 실천할 수 있는 예방 및 교정 방법을 탐구해 보겠습니다. 오늘은 척추측만증 교정운동 및 치료방법에 대해 알려드리겠습니다.



척추측만증 교정운동 및 치료방법
척추측만증은 척추가 옆으로 휘어지는 질환으로, 많은 사람들이 겪는 건강 문제 중 하나입니다. 이 질환은 특히 성장기 아동과 청소년에게서 자주 발견되며, 조기 발견과 적절한 치료가 중요합니다. 척추측만증의 교정 운동과 치료 방법은 환자의 상태와 질환의 정도에 따라 달라질 수 있으며, 전문가의 지도 하에 실시하는 것이 가장 바람직합니다. 이 글에서는 척추측만증의 기본적인 이해, 교정 운동의 종류, 그리고 효과적인 치료 방법에 대해 알아보고자 합니다. 이를 통해 척추측만증을 겪고 있는 이들이 더 나은 삶의 질을 추구할 수 있는 정보를 제공하고자 합니다.
척추측만증 원인






척추측만증, 일명 'Scoliosis',는 척추가 옆으로 휘어지는 상태를 말합니다. 이 상태는 척추가 정상적인 'S' 또는 'C' 모양의 곡선을 형성하게 되며, 이로 인해 다양한 건강 문제를 초래할 수 있습니다. 척추측만증의 원인은 다양하며, 여러 연구를 통해 여러 가설이 제시되었습니다.
척추측만증의 가장 흔한 유형은 '특발성 척추측만증'으로, 이는 척추측만증의 약 85~90%를 차지합니다. '특발성'이란 원인을 명확히 알 수 없다는 의미로, 현재까지도 그 정확한 원인은 밝혀지지 않았습니다. 그러나 몇 가지 가능성 있는 원인들이 연구되고 있습니다:
1. 유전적 요인: 가족력이 있는 경우, 척추측만증이 발생할 확률이 높아집니다. 쌍둥이 연구에서 한 쌍둥이가 척추측만증을 가지고 있으면 다른 쌍둥이에게도 발생할 가능성이 높다는 것이 밝혀졌습니다.
2. 멜라토닌: 멜라토닌이라는 호르몬의 부족이 척추측만증과 관련이 있다는 가설이 있습니다. 멜라토닌은 뇌에서 생성되며, 그 결핍이 척추의 변형을 초래할 수 있다는 연구 결과가 있습니다.
3. 근육 질환: 신경근육성 질환, 예를 들어 뇌성 마비나 근육 질환 등이 척추측만증을 유발할 수 있습니다. 이는 신경과 근육 작용의 불균형으로 인해 발생합니다.
4. 노인성 변화: 나이가 들면서 척추에 퇴행성 변화가 생기고, 이로 인해 척추측만증이 발생할 수 있습니다.
5. 환경적 요인: 잘못된 자세나 불규칙한 생활 패턴, 특정 스포츠 활동 등도 척추측만증의 위험을 높일 수 있습니다.
척추측만증은 조기 발견과 적절한 관리가 중요합니다. 증상이 나타나면 전문의와 상담하여 진단과 치료를 받는 것이 필요합니다. 척추측만증에 대한 더 자세한 정보는 서울아산병원의 질환백과에서 확인할 수 있습니다.
척추측만증 증상






척추측만증, 일명 '측만증'은 척추가 옆으로 휘어지는 질환으로, 정상적인 척추의 모양에서 벗어난 상태를 말합니다. 이 질환은 척추가 'S' 형태나 'C' 형태로 변형되는 것이 특징이며, 다양한 증상을 동반할 수 있습니다. 척추측만증의 증상은 개인마다 다르게 나타나며, 때로는 눈에 띄지 않을 정도로 경미할 수도 있습니다. 그러나 일부 환자에서는 통증, 신체의 불균형, 호흡 곤란 등의 심각한 증상을 경험할 수 있습니다.
척추측만증의 가장 흔한 증상 중 하나는 통증입니다. 환자는 허리, 엉덩이, 어깨 부위에 통증을 느낄 수 있으며, 활동이나 운동 후에 통증이 악화될 수 있습니다. 또한, 척추의 변형으로 인해 어깨 높이가 다르거나 한쪽 어깨뼈가 두드러지게 나타나는 등 신체의 불균형이 발생할 수 있습니다. 이러한 불균형은 걷거나 서 있을 때 몸이 한쪽으로 기울어지는 느낌을 줄 수 있으며, 심한 경우에는 척추 주변의 장기를 압박하여 호흡곤란이나 소화 장애를 유발할 수도 있습니다.
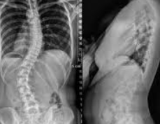
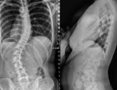
척추측만증은 엑스레이나 자기 공명 영상(MRI) 검사를 통해 진단할 수 있으며, 척추의 만곡이 10도 이상일 때 측만증으로 진단됩니다. 치료 방법은 증상의 정도와 환자의 나이, 만곡의 진행 속도 등에 따라 달라질 수 있습니다. 경미한 경우에는 정기적인 관찰과 운동 요법으로 관리할 수 있으며, 심한 경우에는 보조기 착용이나 수술적 치료가 필요할 수 있습니다.
척추측만증의 예방을 위해서는 바른 자세를 유지하는 것이 중요합니다. 장시간 앉아서 근무하는 경우에는 중간중간 스트레칭을 하여 척추 주변의 근육을 강화하고, 균형 잡힌 운동을 통해 척추를 지탱하는 근육을 강화하는 것이 도움이 됩니다. 또한, 척추측만증의 조기 발견과 치료가 중요하기 때문에, 특히 성장기 아동의 경우 정기적인 건강 검진을 통해 척추의 상태를 확인하는 것이 권장됩니다.
척추측만증은 적절한 관리와 치료를 통해 증상을 완화하고, 삶의 질을 향상시킬 수 있는 질환입니다. 만약 척추측만증을 의심하는 증상이 나타난다면, 전문의와 상담하여 적절한 진단과 치료를 받는 것이 중요합니다.
척추측만증 교정운동






척추측만증, 일명 '스콜리오시스'는 척추가 옆으로 휘어지는 질환으로, 이를 교정하기 위한 운동은 척추 주위의 근육을 강화하고 균형을 잡는 데 중점을 둡니다. 척추측만증 교정운동은 크게 세 가지 원칙에 따라 진행됩니다: 첫째, 약한 근육을 강화하고, 둘째, 수축된 근육을 이완시키며, 셋째, 일상생활에서 바른 자세를 유지하는 것입니다.
척추측만증 교정운동에는 다양한 방법이 있으며, 개인의 척추 상태와 만곡도에 따라 적합한 운동이 달라질 수 있습니다. 일반적으로 추천되는 운동에는 스트레칭, 수영, 걷기, 그리고 약한 강도의 근력 운동이 포함됩니다. 이러한 운동들은 전신의 균형을 잡아주고, 척추 주위 근육을 강화하여 척추의 정렬을 개선하는 데 도움을 줍니다.
비대칭 운동도 중요한 역할을 합니다. 이는 한쪽이 수축된 근육을 이완시키고, 반대쪽의 이완된 근육을 수축시켜 균형을 맞추는 운동입니다. 예를 들어, 한쪽 다리를 교차시키며 서서, 내려간 골반 쪽의 팔을 반대편으로 넘기는 동작은 척추의 비대칭을 교정하는 데 도움이 될 수 있습니다.
척추측만증 교정운동은 전문가의 지도 하에 수행하는 것이 가장 좋으며, 정확한 진단과 개인에 맞는 운동 프로그램이 필요합니다. 또한, 꾸준한 운동과 함께 바른 자세를 유지하는 것이 중요하며, 척추측만증의 진행을 예방하고 개선하는 데 큰 도움이 됩니다.
척추측만증 교정운동에 대한 더 자세한 정보와 지도를 받기 위해서는 전문가와 상담하는 것이 좋으며, 이를 통해 개인의 상태에 맞는 적절한 운동 방법을 찾을 수 있습니다. 건강한 척추를 위한 첫걸음은 바로 전문가의 조언을 구하는 것에서 시작됩니다. 척추측만증에 대한 더 많은 정보와 운동 방법은 관련 전문 블로그나 건강지식센터에서 찾아볼 수 있습니다.
척추측만증 치료법






척추측만증, 또는 척추의 비정상적인 만곡은 다양한 치료 방법이 존재하는 복잡한 상태입니다. 척추측만증의 치료는 환자의 나이, 만곡의 정도 및 진행 속도, 그리고 만곡의 위치에 따라 달라질 수 있습니다. 일반적으로 척추측만증의 치료 방법은 크게 세 가지로 나눌 수 있습니다: 관찰, 보조기 착용, 그리고 수술입니다.
1. 관찰: 경미한 척추측만증의 경우, 특별한 치료 없이 정기적인 의사 상담과 X-선 검사로 진행 상황을 추적하는 것이 충분할 수 있습니다. 이는 만곡이 20도 미만일 때 주로 고려됩니다.
2. 보조기 착용: 만곡이 20도에서 40도 사이이며, 아직 성장 기간이 남아 있는 환자에게는 보조기를 착용하여 만곡의 진행을 막고 교정하는 방법이 사용됩니다. 보조기는 척추의 균형을 유지하고 추가적인 만곡을 방지하는 데 도움을 줄 수 있습니다.
3. 수술적 치료: 만곡이 심하거나 보조기 착용으로 개선되지 않는 경우, 수술적 치료가 필요할 수 있습니다. 수술은 척추의 만곡을 교정하고 고정시키는 것을 목표로 하며, 이는 주로 40도 이상의 만곡에 적용됩니다.
또한, 척추측만증 환자는 특정 운동 프로그램을 통해 코브 각도와 몸통 회전 각을 줄이고, 척추의 유연성과 근육 강화를 도모할 수 있습니다. 이러한 운동은 척추측만증의 증상을 완화하고 환자의 삶의 질을 향상시키는 데 도움이 될 수 있습니다.
척추측만증의 치료는 개인의 상태에 따라 맞춤화되어야 하며, 전문가의 지속적인 관리와 상담이 필요합니다. 만약 척추측만증이 의심되는 경우, 적절한 진단과 치료를 위해 의료 전문가와 상담하는 것이 중요합니다. 척추측만증에 대한 더 자세한 정보와 치료 옵션을 알아보려면 전문가와의 상담을 권장합니다.
척추측만증에 좋은 생활습관
척추측만증, 일명 척추 옆굽음증은 척추가 옆으로 휘어지는 질환으로, 일상 생활 속에서의 작은 습관들이 큰 차이를 만들 수 있습니다. 척추측만증에 좋은 생활습관을 실천함으로써, 증상의 진행을 늦추고, 통증을 줄이며, 전반적인 건강을 향상시킬 수 있습니다.
척추측만증에 좋은 생활습관






1. 자세 교정: 서 있거나 앉아 있을 때 바른 자세를 유지하는 것이 중요합니다. 어깨와 골반을 수평으로 유지하고, 척추를 곧게 펴는 연습을 합니다.
2.규칙적인 운동: 척추와 코어 근육을 강화하는 운동은 척추의 지지력을 높이고, 측만증의 진행을 늦출 수 있습니다. 수영, 요가, 필라테스가 특히 도움이 됩니다.
3. 적절한 수면 자세: 옆으로 누울 때는 무릎을 약간 구부리고, 다리 사이에 쿠션을 두어 척추에 부담을 줄입니다.
4. 무거운 물건 피하기: 무거운 가방이나 물건을 들 때는 양쪽으로 균등하게 분배하여 척추에 가해지는 부담을 줄입니다.
5. 적절한 신발 선택: 지지력이 있는 신발을 착용하여 척추에 가해지는 충격을 최소화합니다.
6. 흡연 및 과도한 음주 피하기: 이러한 습관은 척추 건강에 부정적인 영향을 미칠 수 있습니다.
척추측만증을 위한 자가진단 방법
척추측만증은 초기에 발견하기 어려울 수 있으므로, 정기적인 자가진단이 중요합니다. 서 있는 자세에서 양발을 붙이고, 무릎을 편 후에 허리를 앞으로 굽혀 척추의 모양을 확인합니다. 어깨 높이의 비대칭, 한쪽 허리의 돌출 등이 관찰되면 전문가의 진단을 받는 것이 좋습니다.
척추측만증에 대한 보다 자세한 정보와 생활습관 조언을 원하신다면, 전문가와 상담하시는 것이 가장 좋습니다. 이 글은 일반적인 정보를 제공하기 위한 것이며, 개인의 상황에 따라 다를 수 있음을 유의해야 합니다. 건강한 척추를 위한 여정에 도움이 되길 바랍니다.