임플란트 가격 및 가격비교 알아보기
- 카테고리 없음
- 2024. 5. 11. 08:51
치과 임플란트는 현대 치과학에서 누락된 치아를 대체하는 데 있어 혁신적인 해결책을 제공합니다. 이러한 인공 치아 뿌리는 자연 치아의 기능과 외관을 모방하여 환자의 삶의 질을 향상시키는 데 중요한 역할을 합니다. 임플란트의 가격은 사용되는 재료, 시술의 복잡성, 그리고 치과의 위치에 따라 다양합니다. 이 글에서는 임플란트의 종류, 가격 결정 요인, 그리고 다양한 치과 클리닉 간의 가격 비교에 대해 살펴보겠습니다. 이를 통해 임플란트에 대한 투자가 개인의 건강과 재정적 상황에 어떻게 부합하는지에 대한 이해를 돕고자 합니다. 오늘은 임플란트 가격 및 가격비교에 대해 알아보겠습니다.



임플란트 가격 및 가격 비교
임플란트는 현대 치과학에서 빼놓을 수 없는 중요한 치료 방법 중 하나입니다. 자연 치아를 잃은 많은 사람들에게 임플란트는 기능적이며 심미적인 해결책을 제공합니다. 그러나 임플란트의 비용은 환자에게 큰 고려 사항이 될 수 있으며, 다양한 요인에 의해 결정됩니다. 이 글에서는 임플란트의 가격을 결정하는 다양한 요소들과 가격 비교의 중요성에 대해 살펴보겠습니다.
치과 임플란트는 단순히 '가격'이라는 한 가지 요소로 평가할 수 없는 복잡한 서비스입니다. 임플란트의 종류, 사용되는 재료, 시술 과정, 치과의 기술력 및 위치 등 여러 가지 요소가 가격에 영향을 미칩니다. 또한, 환자의 구강 상태와 필요한 추가 치료 여부도 비용을 결정짓는 중요한 요인입니다.
임플란트 가격






임플란트는 치아를 상실한 경우 그 자리를 대체하기 위해 사용되는 인공치아입니다. 이는 티타늄과 같은 생체 친화적인 재료로 만들어진 픽스처를 잇몸에 식립하고, 그 위에 인공치아를 연결하는 방식으로 이루어집니다. 임플란트의 가격은 다양한 요소에 따라 달라질 수 있으며, 이는 재료의 종류, 시술을 진행하는 병원의 위치와 수준, 그리고 환자의 구강 상태 등에 의해 영향을 받습니다.
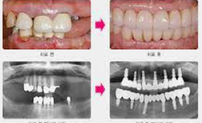
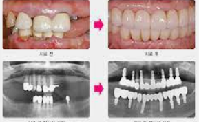
2024년 현재, 임플란트의 가격은 대략적으로 100만 원에서 300만 원 사이로 알려져 있습니다. 이는 보험 적용 여부, 사용되는 임플란트의 종류, 필요한 추가 시술 등에 따라 변동될 수 있습니다. 예를 들어, 일부 환자는 보험 혜택을 받을 수 있으며, 이 경우 비용 부담이 상당히 줄어들 수 있습니다. 또한, 임플란트의 종류에는 국산과 수입품이 있으며, 각각의 임플란트는 다른 가격대를 가지고 있습니다.
임플란트 시술을 고려하고 있다면, 가격뿐만 아니라 시술의 질과 안전성, 그리고 장기적인 결과를 고려하는 것이 중요합니다. 시술을 받기 전에 여러 치과를 방문하여 상담을 받고, 가격 비교뿐만 아니라 시술 방법, 재료의 종류, 의료진의 경험 등을 꼼꼼히 비교하는 것이 현명한 접근 방법이 될 것입니다. 또한, 임플란트에 대한 후기나 추천을 참고하여 신뢰할 수 있는 치과를 선택하는 것도 중요합니다.
임플란트는 단순히 치아를 대체하는 것 이상의 의미를 가지고 있습니다. 이는 환자의 삶의 질을 향상시키고, 자신감을 회복하며, 일상생활에서의 불편함을 줄여줍니다. 따라서, 임플란트는 장기적인 관점에서 볼 때 투자 가치가 있는 시술이라 할 수 있습니다. 임플란트에 대한 더 자세한 정보와 상담을 원한다면, 가까운 치과에 문의하여 전문가의 조언을 구하는 것이 좋습니다.
임플란트 가격 비교






임플란트는 치아를 잃은 많은 사람들에게 희망을 주는 치과 시술입니다. 자연 치아와 유사한 기능과 외관을 제공하며, 장기적으로는 다른 치과 보철물에 비해 경제적일 수 있습니다. 그러나 임플란트의 가격은 여러 요인에 따라 달라질 수 있으며, 환자들에게는 중요한 고려 사항 중 하나입니다.
2024년 현재, 임플란트 가격은 국산과 외산 제품, 병원의 위치와 크기, 그리고 환자의 구강 상태에 따라 다양합니다. 일반적으로 국산 임플란트는 개당 약 100만 원에서 150만 원 사이이며, 외산 임플란트는 약 200만 원에서 250만 원 사이로 가격이 형성되어 있습니다. 또한, 임플란트의 종류에 따라서도 가격 차이가 있으며, 특수 표면 처리나 뼈 이식 여부 등 추가적인 치료가 필요한 경우 비용이 더 발생할 수 있습니다.
임플란트 시술을 고려할 때, 환자는 가격뿐만 아니라 임플란트의 품질, 임상 데이터, 그리고 의료진의 경험과 전문성도 함께 고려해야 합니다. 또한, 임플란트 보험 적용 대상자인지 확인하는 것이 중요하며, 만 65세 이상의 국민은 개인당 최대 2개 치아까지 보험 적용이 가능합니다.
치과 선택 시, 가격 비교뿐만 아니라 치과의 평판, 임플란트에 대한 임상 경험, 그리고 환자 후기 등을 종합적으로 고려하는 것이 현명합니다. 임플란트는 단순한 가격 비교를 넘어서는 중대한 결정이기 때문에, 충분한 정보 수집과 신중한 선택이 필요합니다. 임플란트는 단기간의 치료가 아닌, 장기적인 구강 건강과 삶의 질을 향상시키는 투자라는 점을 기억하는 것이 중요합니다.
임플란트 추천






임플란트는 손실된 치아를 대체하는 데 사용되는 인공치아로, 자연 치아와 유사한 기능과 외관을 제공합니다. 임플란트는 다양한 브랜드와 종류가 있으며, 각자의 특성과 장단점을 가지고 있습니다. 임플란트를 선택할 때는 개인의 치아 상태, 재정적 여건, 그리고 치과 의사의 추천을 고려해야 합니다.
국산 임플란트는 품질 면에서 국제적인 수준에 도달했으며, 가격 대비 성능이 우수한 것으로 평가받고 있습니다. 국내 시장 점유율이 높은 브랜드로는 오스템, 덴티움, 네오바이오텍, 디오, 메가젠 등이 있으며, 이들은 각각의 특화된 기술과 제품 라인을 보유하고 있습니다.
임플란트의 종류를 선택할 때는 개인별 상황과 치료 목적에 따라 다르지만, 일반적으로 골량이 충분하고 골질이 양호한 경우에는 SA나 RBM 임플란트를 사용하고, 골량이 부족하거나 골질이 나쁜 경우에는 HA나 CA 임플란트를 사용하는 것이 좋습니다.
임플란트 수술은 고가의 의료 서비스이기 때문에, 비용을 절감할 수 있는 방법을 찾는 것도 중요합니다. 일부 치과에서는 할인 이벤트나 보험 혜택을 제공하여 환자의 부담을 줄여주기도 합니다. 또한, 정부 기관에서 운영하는 사이트를 통해 임플란트 가격을 비교하고 정보를 얻을 수 있으므로, 수술을 고려하고 있다면 이러한 자료를 참고하는 것이 유익할 수 있습니다.
임플란트를 고려하고 계시다면, 여러 브랜드와 종류를 비교하고, 치과 의사와 상의하여 자신에게 가장 적합한 선택을 하는 것이 중요합니다. 임플란트는 장기적인 구강 건강과 삶의 질을 향상시키는 데 큰 역할을 하므로, 신중한 결정이 필요합니다.
임플란트 종류






임플란트는 치과 치료에서 빼놓을 수 없는 중요한 부분입니다. 현대 임플란트 기술은 다양한 종류의 임플란트를 제공하여, 환자의 개별적인 필요와 상황에 맞춰 선택할 수 있게 해줍니다. 여기서는 몇 가지 일반적인 임플란트 종류에 대해 간략하게 설명드리겠습니다.
1. 엔도스틸 임플란트(Endosteal Implants): 가장 흔히 사용되는 임플란트 유형으로, 나사 모양, 판 모양, 또는 핀 모양일 수 있습니다. 이들은 직접적으로 턱뼈에 심어지며, 한 번의 수술로 뼈에 고정됩니다.
2. 서브페리오스틸 임플란트(Subperiosteal Implants): 이 임플란트는 턱뼈 위에 위치하며, 잇몸 위로 금속 프레임이 노출됩니다. 턱뼈가 얇거나 부족할 때 사용됩니다.
3. 지르코니아 임플란트(Zirconia Implants): 전통적인 티타늄 임플란트의 대안으로, 금속을 사용하지 않는 임플란트입니다. 미적으로 더 우수하고 알레르기 반응을 줄일 수 있는 장점이 있습니다.
4. 미니 임플란트(Mini Implants): 더 작고 가는 임플란트로, 일시적인 해결책이나 좁은 공간에 적합합니다. 빠른 회복 시간과 간단한 설치 과정이 특징입니다.
5. 즉시 로딩 임플란트(Immediate Load Implants): 이 임플란트는 수술 직후에 임시 치아를 바로 심을 수 있어, 회복 기간이 거의 필요 없습니다.
6. 알러지 임플란트(All-on-4 Implants): 전체 치아를 대체할 때 사용되며, 네 개의 임플란트를 사용하여 전체 치아 세트를 지지합니다.
각 임플란트 종류는 특정한 임상적 상황과 환자의 요구에 따라 선택됩니다. 치과 의사는 환자의 구강 건강 상태, 턱뼈의 밀도, 재정적 요소, 그리고 개인적인 선호도를 고려하여 가장 적합한 임플란트를 추천할 것입니다. 임플란트는 장기적인 해결책을 제공하며, 자연 치아와 유사한 기능과 미적인 면을 회복시켜 줍니다. 임플란트에 대해 더 자세히 알고 싶으시다면, 치과 전문의와 상담하는 것이 가장 좋습니다.
임플란트 시술기간






임플란트 시술은 현대 치과학에서 빼놓을 수 없는 중요한 부분입니다. 임플란트는 손상되거나 상실된 치아를 대체하는 데 사용되며, 자연 치아와 유사한 기능과 외관을 제공합니다. 이 시술은 여러 단계로 이루어지며, 각 단계는 환자의 구강 상태와 필요에 따라 달라질 수 있습니다.
일반적으로 임플란트 시술기간은 약 3~4개월 정도 소요됩니다. 이 기간은 임플란트 픽스쳐가 잇몸뼈에 얼마나 빨리 결합하느냐에 따라 달라질 수 있으며, 뼈 이식이 필요한 경우에는 시술 기간이 6개월 이상으로 길어질 수 있습니다.
시술 과정은 크게 세 단계로 나뉩니다:
1. 정밀 검사 및 계획 단계: 이 단계에서는 환자의 구강 상태를 정밀하게 진단하고, 치료 계획을 수립합니다. 이는 엑스레이나 CT 촬영을 통해 이루어집니다.
2. 수술 단계: 임플란트 뿌리에 해당하는 픽스쳐를 잇몸뼈에 심는 과정입니다. 이 단계는 절개 방식과 무절개 방식으로 나뉘며, 환자의 잇몸 상태에 따라 결정됩니다.
3. 안정화 기간: 픽스쳐가 잇몸뼈와 단단히 결합하여 안정화되는 기간입니다. 이 기간은 위턱의 경우 3~6개월, 아래턱의 경우 2~4개월 정도 소요됩니다.
임플란트 시술은 환자의 개별 상황에 따라 다르게 진행될 수 있으므로, 정확한 시술 기간과 과정은 치과 의사와의 상담을 통해 결정되어야 합니다. 임플란트는 장기적인 관점에서 볼 때, 자연 치아의 기능을 회복하고 삶의 질을 향상시키는 데 큰 도움이 되는 시술입니다.